AP1M2 Polyclonal Antibody

Cat.#: 165800

Special Price 226.5 USD

Availability: In Stock
- +

Add to cart to get an online quotation

Product Information

  • Product Name
    AP1M2 Polyclonal Antibody
  • Documents
  • Description
    Polyclonal antibody to AP1M2
  • Tested applications
    WB, IHC
  • Species reactivity
    Human, Mouse
  • Alternative names
    AP1M2 antibody; AP1-mu2 antibody; HSMU1B antibody; MU-1B antibody; MU1B antibody; mu2 antibody; AP-1 complex subunit mu-2 antibody
  • Isotype
    Rabbit IgG
  • Preparation
    Antigen: Recombinant fusion protein containing a sequence corresponding to amino acids 164-423 of human AP1M2 (NP_005489.2).
  • Clonality
    Polyclonal
  • Formulation
    PBS with 0.02% sodium azide, 50% glycerol, pH7.3.
  • Storage instructions
    Store at -20℃. Avoid freeze / thaw cycles.
  • Applications
    WB 1:500 - 1:2000
    IHC 1:50 - 1:100
  • Validations

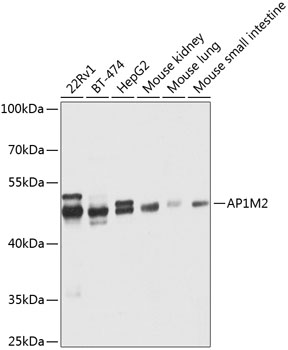
    Western blot - AP1M2 Polyclonal Antibody

    Western blot - AP1M2 Polyclonal Antibody

    Western blot analysis of extracts of various cell lines, using AP1M2 antibody at 1:1000 dilution._Secondary antibody: HRP Goat Anti-Rabbit IgG (H+L) at 1:10000 dilution._Lysates/proteins: 25ug per lane._Blocking buffer: 3% nonfat dry milk in TBST._Detection: ECL Enhanced Kit ._Exposure time: 1s.

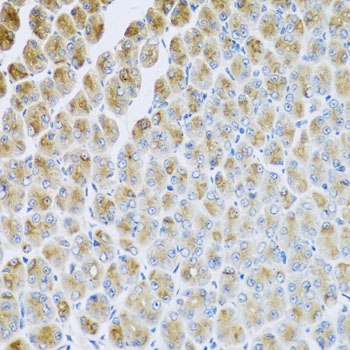
    Immunohistochemistry - AP1M2 Polyclonal Antibody

    Immunohistochemistry - AP1M2 Polyclonal Antibody

    Immunohistochemistry of paraffin-embedded mouse stomach using AP1M2 antibody at dilution of 1:100 (40x lens).

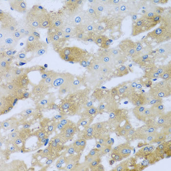
    Immunohistochemistry - AP1M2 Polyclonal Antibody

    Immunohistochemistry - AP1M2 Polyclonal Antibody

    Immunohistochemistry of paraffin-embedded human liver injury using AP1M2 antibody at dilution of 1:100 (40x lens).

  • Background
    Subunit of clathrin-associated adaptor protein complex 1 that plays a role in protein sorting in the trans-Golgi network (TGN) and endosomes. The AP complexes mediate the recruitment of clathrin to membranes and the recognition of sorting signals within the cytosolic tails of transmembrane cargo molecules.

Please note: All products are "FOR RESEARCH USE ONLY AND ARE NOT INTENDED FOR DIAGNOSTIC OR THERAPEUTIC USE"