Anti-YBX2 antibody

Cat.#: 175026

Size:

Special Price 241.9 USD

Availability: In Stock
- +

Add to cart to get an online quotation

Product Information

  • Product Name
    Anti-YBX2 antibody
  • Documents
  • Description
    Mouse monoclonal antibody to YBX2
  • Tested applications
    WB, IHC-P
  • Species reactivity
    Human, Mouse, Rat
  • Alternative names
    DBPC antibody; MSY2 antibody; CSDA3 antibody; CONTRIN antibody
  • Isotype
    Mouse IgG1
  • Preparation
    This antigen of this antibody was peptide.
  • Clonality
    Monoclonal
  • Formulation
    Liquid, 1*PBS (pH7.4), 0.2% BSA, 50% Glycerol. Preservative: 0.05% Sodium Azide.
  • Storage instructions
    Store at +4℃ after thawing. Aliquot store at -20℃ or -80℃. Avoid repeated freeze / thaw cycles.
  • Applications

    WB: 1:500-1:2,000

    IHC-P: 1:50-1:200

  • Validations

    Fig1: Western blot analysis of MYS2 on MCF-7 cell (1) and mouse testis tissue lysate using anti-MSY2 antibody at 1/1,000 dilution.

    Fig1: Western blot analysis of MYS2 on MCF-7 cell (1) and mouse testis tissue lysate using anti-MSY2 antibody at 1/1,000 dilution.

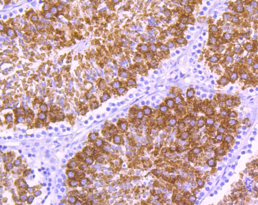
    Fig2: Immunohistochemical analysis of paraffin-embedded mouse testis tissue using anti-MSY2 antibody. Counter stained with hematoxylin.

    Fig2: Immunohistochemical analysis of paraffin-embedded mouse testis tissue using anti-MSY2 antibody. Counter stained with hematoxylin.

  • Background
  • References
    • Frye B.C. et al. Y-box protein-1 is actively secreted through a non-classical pathway and acts as an extracellular mitogen. EMBO Rep. 10:783-789 (2009).
    • Chattopadhyay R. et al. Regulatory role of human AP-endonuclease (APE1/Ref-1) in YB-1-mediated activation of the multidrug resistance gene MDR1. Mol. Cell. Biol. 28:7066-7080 (2008).

Please note: All products are "FOR RESEARCH USE ONLY AND ARE NOT INTENDED FOR DIAGNOSTIC OR THERAPEUTIC USE"