Anti-WWP1 Rabbit antibody

Cat.#: 169081

Size:

Special Price 441.3 USD

Availability: In Stock
- +

Add to cart to get an online quotation

Product Information

  • Product Name
    Anti-WWP1 Rabbit antibody
  • Documents
  • Description
    WWP1 Rabbit polyclonal antibody
  • Tested applications
    ELISA, WB, IHC-P
  • Species reactivity
    Human
  • Alternative names
    WW domain containing E3 ubiquitin protein ligase 1 antibody
  • Isotype
    Rabbit IgG
  • Preparation
    Antigen: Fusion protein of human WWP1
  • Clonality
    Polyclonal
  • Formulation
    -20°C, pH7.4 PBS, 0.05% NaN3, 40% Glycerol
  • Storage instructions
    Store at 4°C short term. Store at -20°C long term. Avoid freeze / thaw cycle.
  • Applications

    WB: 1/500-1/2000

    IHC: 1/25-1/100

  • Validations

    Gel: 6%SDS-PAGE, Lysate: 40 μg, Lane: PC3 cell, Primary antibody: 169081(WWP1 Antibody) at dilution 1/750, Secondary antibody: Goat anti rabbit IgG at 1/8000 dilution, Exposure time: 10 seconds

    Gel: 6%SDS-PAGE, Lysate: 40 μg, Lane: PC3 cell, Primary antibody: 169081(WWP1 Antibody) at dilution 1/750, Secondary antibody: Goat anti rabbit IgG at 1/8000 dilution, Exposure time: 10 seconds

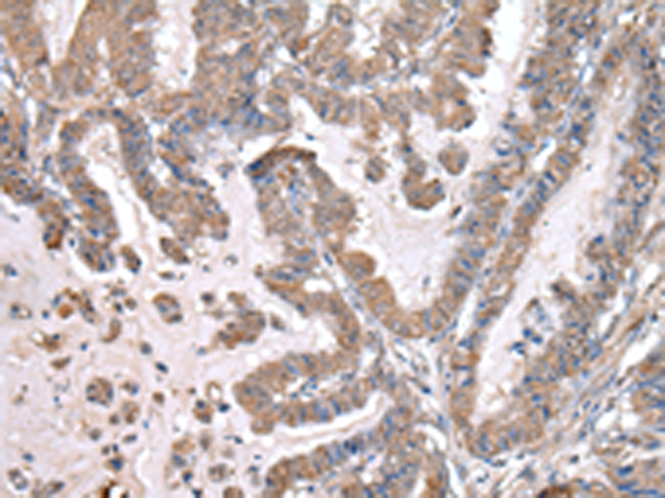
    The image is immunohistochemistry of paraffin-embedded Human esophagus cancer tissue using 169081(WWP1 Antibody) at dilution 1/20. (Original magnification: ×200)

    The image is immunohistochemistry of paraffin-embedded Human esophagus cancer tissue using 169081(WWP1 Antibody) at dilution 1/20. (Original magnification: ×200)

  • Background
    Swiss-Prot Acc.Q9H0M0.

Please note: All products are "FOR RESEARCH USE ONLY AND ARE NOT INTENDED FOR DIAGNOSTIC OR THERAPEUTIC USE"