Anti-WIF1 (1D7) Mouse antibody

Cat.#: 168365

Size:

Special Price 441.3 USD

Availability: In Stock
- +

Add to cart to get an online quotation

Product Information

  • Product Name
    Anti-WIF1 (1D7) Mouse antibody
  • Documents
  • Description
    WIF1 (1D7) Mouse monoclonal antibody
  • Tested applications
    WB, IHC-P, ICC/IF
  • Species reactivity
    Human
  • Isotype
    Mouse IgG1
  • Preparation
    Antigen: Purified recombinant fragment of human WIF1 expressed in E. Coli.
  • Clonality
    Monoclonal
  • Formulation
    Ascitic fluid containing 0.03% sodium azide.
  • Storage instructions
    Store at 4°C short term. Store at -20°C long term. Avoid freeze / thaw cycle.
  • Applications

    WB: 1/500 - 1/2000

    IHC: 1/200 - 1/1000

    ICC: 1/200 - 1/1000

    ELISA: 1/10000

  • Validations

    Immunofluorescence analysis of Hela cells using WIF1 mouse mAb (green). Red: Actin filaments have been labeled with Alexa Fluor-555 phalloidin.

    Immunofluorescence analysis of Hela cells using WIF1 mouse mAb (green). Red: Actin filaments have been labeled with Alexa Fluor-555 phalloidin.

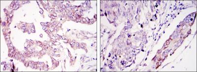
    Immunohistochemical analysis of paraffin-embedded ovary tumour tissues (left) and lung cancer (right) using WIF1 mouse mAb with DAB staining.

    Immunohistochemical analysis of paraffin-embedded ovary tumour tissues (left) and lung cancer (right) using WIF1 mouse mAb with DAB staining.

    Western blot detection of WIF1 in Jurkat,A549,MCF7,C6 and Hela cell lysates using WIF1 mouse mAb (1:500 diluted).Predicted band size:42KDa.Observed band size:42KDa.

    Western blot detection of WIF1 in Jurkat,A549,MCF7,C6 and Hela cell lysates using WIF1 mouse mAb (1:500 diluted).Predicted band size:42KDa.Observed band size:42KDa.

  • Background
    Swiss-Prot Acc.Q9Y5W5.The protein encoded by this gene functions to inhibit WNT proteins, which are extracellular signaling molecules that play a role in embryonic development. This protein contains a WNT inhibitory factor (WIF) domain and five epidermal growth factor (EGF)-like domains, and is thought to be involved in mesoderm segmentation. This gene functions as a tumor suppressor gene, and has been found to be epigenetically silenced in various cancers.

Please note: All products are "FOR RESEARCH USE ONLY AND ARE NOT INTENDED FOR DIAGNOSTIC OR THERAPEUTIC USE"