Anti-VEGF Rabbit antibody

Cat.#: 167498

Size:

Special Price 441.3 USD

Availability: In Stock
- +

Add to cart to get an online quotation

Product Information

  • Product Name
    Anti-VEGF Rabbit antibody
  • Documents
  • Description
    VEGF Rabbit polyclonal antibody
  • Tested applications
    WB, IHC-P, ELISA
  • Species reactivity
    Human
  • Isotype
    Rabbit IgG
  • Preparation
    Antigen: The antiserum was produced against synthesized peptide derived from the Internal region of human VEGFA. AA range:101-150
  • Clonality
    Polyclonal
  • Formulation
    Liquid in PBS containing 50% glycerol, 0.5% BSA and 0.02% sodium azide.
  • Storage instructions
    -20°C/1 year
  • Applications

    WB: 1/500 - 1/2000

    1:100-300

    ELISA: 1/20000

  • Validations

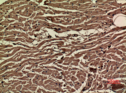
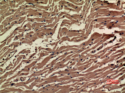
    Immunohistochemical analysis of paraffin-embedded human-heart, antibody was diluted at 1:100

    Immunohistochemical analysis of paraffin-embedded human-heart, antibody was diluted at 1:100

    Immunohistochemical analysis of paraffin-embedded human-heart, antibody was diluted at 1:100

    Immunohistochemical analysis of paraffin-embedded human-heart, antibody was diluted at 1:100

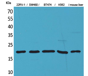
    Western Blot analysis of 22RV-1, SW480, BT474, K562, mouse liver cells using VEGF-A Polyclonal Antibody. Antibody was diluted at 1:500. Secondary antibody was diluted at 1:20000

    Western Blot analysis of 22RV-1, SW480, BT474, K562, mouse liver cells using VEGF-A Polyclonal Antibody. Antibody was diluted at 1:500. Secondary antibody was diluted at 1:20000

  • Background
    Swiss-Prot Acc.P15692.

Please note: All products are "FOR RESEARCH USE ONLY AND ARE NOT INTENDED FOR DIAGNOSTIC OR THERAPEUTIC USE"