Anti-UGP2 antibody

Cat.#: 175032

Size:

Special Price 241.9 USD

Availability: In Stock
- +

Add to cart to get an online quotation

Product Information

  • Product Name
    Anti-UGP2 antibody
  • Documents
  • Description
    Mouse monoclonal antibody to UGP2
  • Tested applications
    WB, IHC-P, FC
  • Species reactivity
    Human, Mouse, Rat
  • Alternative names
    UDPG antibody; UGP1 antibody; DEE83 antibody; UDPGP antibody; UGPP1 antibody; UGPP2 antibody; EIEE83 antibody; SVUGP2 antibody; UDPGP2 antibody; pHC379 antibody
  • Isotype
    Mouse IgG1
  • Preparation
    This antigen of this antibody was recombinant protein.
  • Clonality
    Monoclonal
  • Formulation
    Liquid, 1*PBS (pH7.4), 0.2% BSA, 50% Glycerol. Preservative: 0.05% Sodium Azide.
  • Storage instructions
    Store at +4℃ after thawing. Aliquot store at -20℃. Avoid repeated freeze / thaw cycles.
  • Applications

    WB: 1:500

    IHC-P: 1:50-1:100

    FC: 1:50-1:100

  • Validations

    Fig1: Western blot analysis of UGP2 on human liver tissue lysate using anti-UGP2 antibody at 1/200 dilution.

    Fig1: Western blot analysis of UGP2 on human liver tissue lysate using anti-UGP2 antibody at 1/200 dilution.

    Fig2: Immunohistochemical analysis of paraffin-embedded rat skeletal muscle tissue using anti-UGP2 antibody. Counter stained with hematoxylin.

    Fig2: Immunohistochemical analysis of paraffin-embedded rat skeletal muscle tissue using anti-UGP2 antibody. Counter stained with hematoxylin.

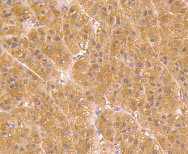
    Fig3: Immunohistochemical analysis of paraffin-embedded human liver tissue using anti-UGP2 antibody. Counter stained with hematoxylin.

    Fig3: Immunohistochemical analysis of paraffin-embedded human liver tissue using anti-UGP2 antibody. Counter stained with hematoxylin.

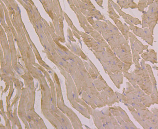
    Fig4: Immunohistochemical analysis of paraffin-embedded mouse heart tissue using anti-UGP2 antibody. Counter stained with hematoxylin.

    Fig4: Immunohistochemical analysis of paraffin-embedded mouse heart tissue using anti-UGP2 antibody. Counter stained with hematoxylin.

    Fig5: Flow cytometric analysis of LOVO cells with UGP2 antibody at 1/100 dilution (red) compared with an unlabelled control (cells without incubation with primary antibody; black). Alexa Fluor 488-conjugated goat anti-mouse IgG was used as the secondary antibody.

    Fig5: Flow cytometric analysis of LOVO cells with UGP2 antibody at 1/100 dilution (red) compared with an unlabelled control (cells without incubation with primary antibody; black). Alexa Fluor 488-conjugated goat anti-mouse IgG was used as the secondary antibody.

  • Background
  • References
    • Fuhring J I et al. A quaternary mechanism enables the complex biological functions of octameric human UDP-glucose pyrophosphorylase, a key enzyme in cell metabolism. Sci Rep 5:9618-9618 (2015).
    • Peng H-L et al. Cloning of a human liver UDP-glucose pyrophosphorylase cDNA by complementation of the bacterial galU mutation. FEBS Lett 329:153-158 (1993).

Please note: All products are "FOR RESEARCH USE ONLY AND ARE NOT INTENDED FOR DIAGNOSTIC OR THERAPEUTIC USE"