Anti-TRAF6BP/TAX1BP1 Rabbit antibody

Cat.#: 167441

Size:

Special Price 441.3 USD

Availability: In Stock
- +

Add to cart to get an online quotation

Product Information

  • Product Name
    Anti-TRAF6BP/TAX1BP1 Rabbit antibody
  • Documents
  • Description
    TRAF6BP/TAX1BP1 Rabbit polyclonal antibody
  • Tested applications
    WB, IHC-P, ICC/IF
  • Species reactivity
    Human, Mouse, Rat
  • Alternative names
    T6BP; TXBP151; CALCOCO3 antibody
  • Isotype
    Rabbit IgG
  • Preparation
    Antigen: A synthetic peptide of human TRAF6BP
  • Clonality
    Polyclonal
  • Formulation
    Supplied in 50nM Tris-Glycine(pH 7.4), 0.15M Nacl, 40%Glycerol, 0.01% sodium azide and 0.05% BSA.
  • Storage instructions
    Store at -20°C. Stable for 12 months from date of receipt.
  • Applications

    WB: 1/1000

    IHC: 1/20

    ICC/IF: 1/20

  • Validations

    Western blot detection of TRAF6BP/TAX1BP1 in K562,Hela cell lysates using TRAF6BP/TAX1BP1 Rabbit pAb(1:1000 diluted).Predicted band size:91kDa.Observed band size:91kDa.

    Western blot detection of TRAF6BP/TAX1BP1 in K562,Hela cell lysates using TRAF6BP/TAX1BP1 Rabbit pAb(1:1000 diluted).Predicted band size:91kDa.Observed band size:91kDa.

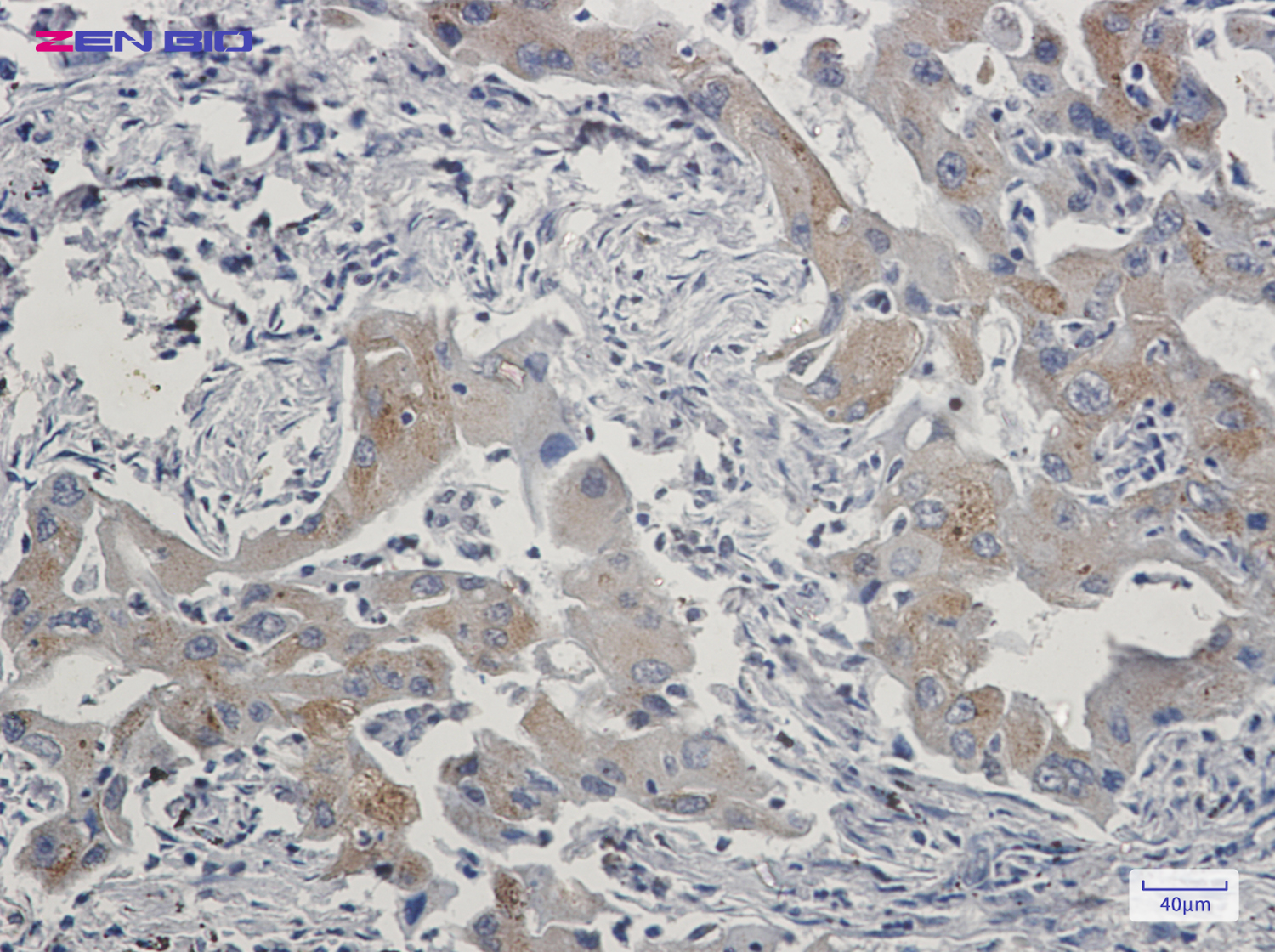
    Immunohistochemistry of TRAF6BP in paraffin-embedded Human lung cancer tissue using TRAF6BP Rabbit pAb at dilution 1/20

    Immunohistochemistry of TRAF6BP in paraffin-embedded Human lung cancer tissue using TRAF6BP Rabbit pAb at dilution 1/20

  • Background
    Swiss-Prot Acc.Q86VP1.Inhibits TNF-induced apoptosis by mediating the TNFAIP3 anti-apoptotic activity. Degraded by caspase-3-like family proteins upon TNF-induced apoptosis. May also play a role in the pro-inflammatory cytokine IL-1 signaling cascade.

Please note: All products are "FOR RESEARCH USE ONLY AND ARE NOT INTENDED FOR DIAGNOSTIC OR THERAPEUTIC USE"