Anti-Syntrophin alpha 1 Rabbit antibody

Cat.#: 167397

Size:

Special Price 441.3 USD

Availability: In Stock
- +

Add to cart to get an online quotation

Product Information

  • Product Name
    Anti-Syntrophin alpha 1 Rabbit antibody
  • Documents
  • Description
    Syntrophin alpha 1 Rabbit polyclonal antibody
  • Tested applications
    WB, IHC-P, ICC/IF, FC
  • Species reactivity
    Human, Mouse
  • Alternative names
    SNT1; LQT12; TACIP1; dJ1187J4.5 antibody
  • Isotype
    Rabbit IgG
  • Preparation
    Antigen: A synthetic peptide of human Syntrophin alpha 1
  • Clonality
    Polyclonal
  • Formulation
    Supplied in 50nM Tris-Glycine(pH 7.4), 0.15M Nacl, 40%Glycerol, 0.01% sodium azide and 0.05% BSA.
  • Storage instructions
    Store at -20°C. Stable for 12 months from date of receipt.
  • Applications

    WB: 1/1000-1/5000

    IHC: 1/50

    ICC/IF: 1/50

    FC: 1/50

  • Validations

    Western blot detection of Syntrophin alpha 1 in K562 cell lysates using Syntrophin alpha 1 Rabbit pAb(1:1000 diluted).Predicted band size:54kDa.Observed band size:54kDa.

    Western blot detection of Syntrophin alpha 1 in K562 cell lysates using Syntrophin alpha 1 Rabbit pAb(1:1000 diluted).Predicted band size:54kDa.Observed band size:54kDa.

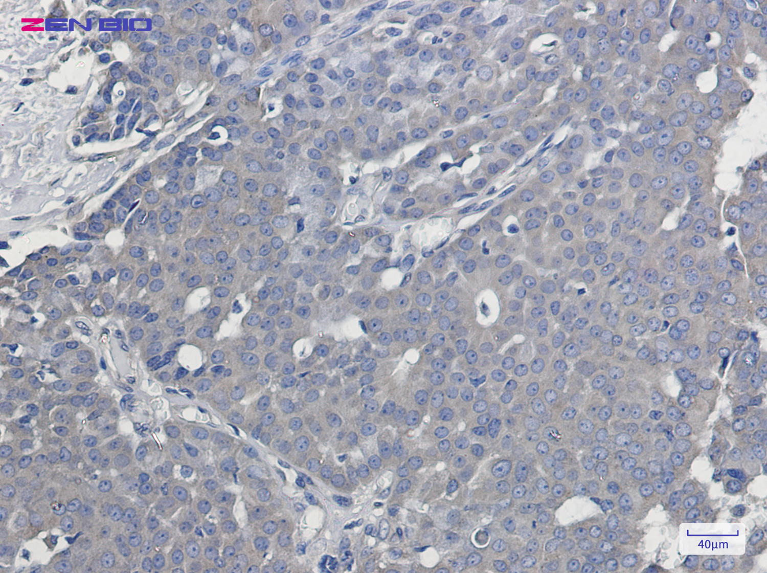
    Immunohistochemistry of Syntrophin alpha 1 in paraffin-embedded Human breast cancer tissue using Syntrophin alpha 1 Rabbit pAb at dilution 1/50

    Immunohistochemistry of Syntrophin alpha 1 in paraffin-embedded Human breast cancer tissue using Syntrophin alpha 1 Rabbit pAb at dilution 1/50

  • Background
    Swiss-Prot Acc.Q13424.Adapter protein that binds to and probably organizes the subcellular localization of a variety of membrane proteins. May link various receptors to the actin cytoskeleton and the extracellular matrix via the dystrophin glycoprotein complex. Plays an important role in synapse formation and in the organization of UTRN and acetylcholine receptors at the neuromuscular synapse. Binds to phosphatidylinositol 4,5-bisphosphate .

Please note: All products are "FOR RESEARCH USE ONLY AND ARE NOT INTENDED FOR DIAGNOSTIC OR THERAPEUTIC USE"