Anti-Superoxide Dismutase 1 Rabbit antibody

Cat.#: 167210

Size:

Special Price 441.3 USD

Availability: In Stock
- +

Add to cart to get an online quotation

Product Information

  • Product Name
    Anti-Superoxide Dismutase 1 Rabbit antibody
  • Documents
  • Description
    Superoxide Dismutase 1 Rabbit polyclonal antibody
  • Tested applications
    WB, IHC-P, ICC/IF, FC
  • Species reactivity
    Human, Rat
  • Alternative names
    ALS; SOD; ALS1; IPOA; hSod1; HEL-S-44; homodimer antibody
  • Isotype
    Rabbit IgG
  • Preparation
    Antigen: A synthetic peptide of human Superoxide Dismutase 1
  • Clonality
    Polyclonal
  • Formulation
    Supplied in 50nM Tris-Glycine(pH 7.4), 0.15M Nacl, 40%Glycerol, 0.01% sodium azide and 0.05% BSA.
  • Storage instructions
    Store at -20°C. Stable for 12 months from date of receipt.
  • Applications

    WB: 1/5000

    IHC: 1/20

    ICC/IF: 1/20

    FC: 1/20

  • Validations

    Western blot detection of Superoxide Dismutase 1 in K562,Rat Brain,C6,3T3,Hela cell lysates using Superoxide Dismutase 1 Rabbit pAb(1:1000 diluted).Predicted band size:16kDa.Observed band size:18kDa.

    Western blot detection of Superoxide Dismutase 1 in K562,Rat Brain,C6,3T3,Hela cell lysates using Superoxide Dismutase 1 Rabbit pAb(1:1000 diluted).Predicted band size:16kDa.Observed band size:18kDa.

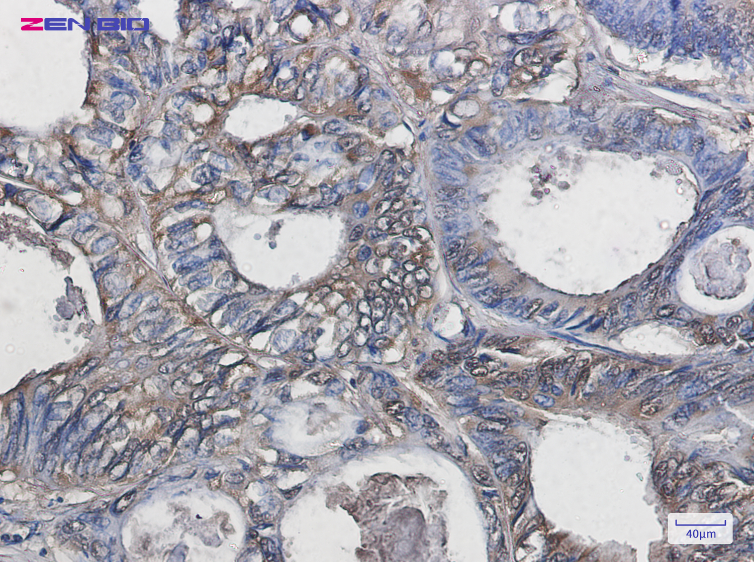
    Immunohistochemistry of Superoxide Dismutase 1 in paraffin-embedded Human colon cancer tissue using Superoxide Dismutase 1 Rabbit pAb at dilution 1/20

    Immunohistochemistry of Superoxide Dismutase 1 in paraffin-embedded Human colon cancer tissue using Superoxide Dismutase 1 Rabbit pAb at dilution 1/20

  • Background
    Swiss-Prot Acc.P00441.Destroys radicals which are normally produced within the cells and which are toxic to biological systems.MiscellaneousThe protein (both wild-type and ALS1 variants) has a tendency to form fibrillar aggregates in the absence of the intramolecular disulfide bond or of bound zinc ions. These aggregates may have cytotoxic effects. Zinc binding promotes dimerization and stabilizes the native form.

Please note: All products are "FOR RESEARCH USE ONLY AND ARE NOT INTENDED FOR DIAGNOSTIC OR THERAPEUTIC USE"