Anti-RNF39 antibody

Cat.#: 175671

Size:

Special Price 241.9 USD

Availability: In Stock
- +

Add to cart to get an online quotation

Product Information

  • Product Name
    Anti-RNF39 antibody
  • Documents
  • Description
    Rabbit polyclonal antibody to RNF39
  • Tested applications
    WB, IHC-P
  • Species reactivity
    Human, Mouse, Rat, Dog, Monkey
  • Alternative names
    HZF antibody; HZFW antibody; LIRF antibody; FAP216 antibody
  • Isotype
    Rabbit IgG
  • Preparation
    This antigen of this antibody was klh conjugated synthetic peptide derived from human rnf39 182-230/420
  • Clonality
    Polyclonal
  • Formulation
    Liquid, 0.01M TBS(pH7.4) with 1% BSA, 0.03% Proclin300 and 50% Glycerol.
  • Storage instructions
    Store at -20℃ for one year. Avoid repeated freeze/thaw cycles. The lyophilized antibody is stable at room temperature for at least one month and for greater than a year when kept at -20℃. When reconstituted in sterile pH 7.4 0.01M PBS or diluent of antibody the antibody is stable for at least two weeks at 2-4℃.
  • Applications

    WB:1:500-2000

    IHC-P:1:400-800

  • Validations

    Fig1: Protein: Raji lysate at 40ug;; Primary: rabbit Anti-RNF39 at 1:300;; Secondary: HRP conjugated Goat-Anti-rabbit IgG(bs-0295G-HRP) at 1: 5000;; Predicted band size: 38/45 kD; Observed band size: 38 kD

    Fig1: Protein: Raji lysate at 40ug;; Primary: rabbit Anti-RNF39 at 1:300;; Secondary: HRP conjugated Goat-Anti-rabbit IgG(bs-0295G-HRP) at 1: 5000;; Predicted band size: 38/45 kD; Observed band size: 38 kD

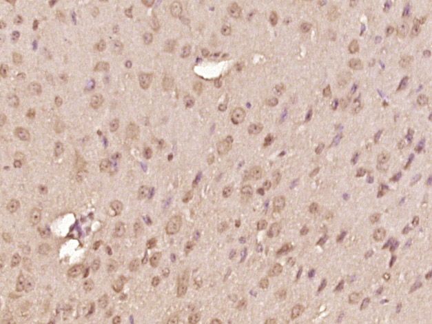
    Fig2: Paraformaldehyde-fixed, paraffin embedded (mouse brain tissue); Antigen retrieval by boiling in sodium citrate buffer (pH6.0) for 15min; Block endogenous peroxidase by 3% hydrogen peroxide for 20 minutes; Blocking buffer (normal goat serum) at 37℃ for 30min; Antibody incubation with (RNF39) Polyclonal Antibody, Unconjugated at 1:400 overnight at 4℃, followed by operating according to SP Kit(Rabbit) (sp-0023) instructionsand DAB staining.

    Fig2: Paraformaldehyde-fixed, paraffin embedded (mouse brain tissue); Antigen retrieval by boiling in sodium citrate buffer (pH6.0) for 15min; Block endogenous peroxidase by 3% hydrogen peroxide for 20 minutes; Blocking buffer (normal goat serum) at 37℃ for 30min; Antibody incubation with (RNF39) Polyclonal Antibody, Unconjugated at 1:400 overnight at 4℃, followed by operating according to SP Kit(Rabbit) (sp-0023) instructionsand DAB staining.

  • Background

Please note: All products are "FOR RESEARCH USE ONLY AND ARE NOT INTENDED FOR DIAGNOSTIC OR THERAPEUTIC USE"