Anti-Phospho-Src (Tyr530) Rabbit antibody

Cat.#: 166687

Size:

Special Price 441.3 USD

Availability: In Stock
- +

Add to cart to get an online quotation

Product Information

  • Product Name
    Anti-Phospho-Src (Tyr530) Rabbit antibody
  • Documents
  • Description
    Phospho-Src (Tyr530) Rabbit polyclonal antibody
  • Tested applications
    WB, IHC-P, ICC/IF
  • Species reactivity
    Human, Mouse, Rat
  • Isotype
    Rabbit IgG
  • Preparation
    Antigen: Peptide sequence around phosphorylation site of tyrosine 529 (P-Q-Y(p)-Q-P) derived from Human Src.
  • Clonality
    Polyclonal
  • Formulation
    Supplied at 1.0mg/mL in phosphate buffered saline (without Mg2+ and Ca2+), pH 7.4, 150mM NaCl, 0.02% sodium azide and 50% glycerol.
  • Storage instructions
    Store at 4°C short term. Store at -20°C long term. Avoid freeze / thaw cycle.
  • Applications

    WB:1/500-1/1000ICC:1/100-1/200IHC:1/50-1/100

  • Validations

    Western blot analysis of extracts from HT29 cells untreated or treated with PMA using Src (Phospho-Tyr529) Antibody .

    Western blot analysis of extracts from HT29 cells untreated or treated with PMA using Src (Phospho-Tyr529) Antibody .

    Western blot analysis of extracts from COS7 and 3T3 cells, using SRC(Phospho-Tyr529) Rabbit mAb.The phospho-specificity of the antibody was further characterized by treating the membrane with alkaline phosphatase after Western transfer.

    Western blot analysis of extracts from COS7 and 3T3 cells, using SRC(Phospho-Tyr529) Rabbit mAb.The phospho-specificity of the antibody was further characterized by treating the membrane with alkaline phosphatase after Western transfer.

    Immunofluorescence staining of methanol-fixed Hela cells using Src (Phospho-Tyr529) Antibody .

    Immunofluorescence staining of methanol-fixed Hela cells using Src (Phospho-Tyr529) Antibody .

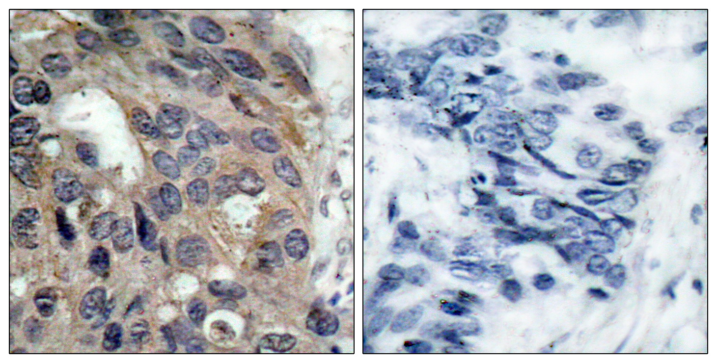
    Immunohistochemical analysis of paraffin-embedded human breast carcinoma tissue using Src (Phospho-Tyr529) Antibody (left) or the same antibody preincubated with blocking peptide (right).

    Immunohistochemical analysis of paraffin-embedded human breast carcinoma tissue using Src (Phospho-Tyr529) Antibody (left) or the same antibody preincubated with blocking peptide (right).

  • Background
    Swiss-Prot Acc.P12931.

Please note: All products are "FOR RESEARCH USE ONLY AND ARE NOT INTENDED FOR DIAGNOSTIC OR THERAPEUTIC USE"