Anti-Phospho-PKC alpha (Thr638) Rabbit antibody

Cat.#: 168589

Size:

Special Price 441.3 USD

Availability: In Stock
- +

Add to cart to get an online quotation

Product Information

  • Product Name
    Anti-Phospho-PKC alpha (Thr638) Rabbit antibody
  • Documents
  • Description
    Phospho-PKC alpha (Thr638) Rabbit monoclonal antibody
  • Tested applications
    WB, IHC-P, IP
  • Species reactivity
    Human, Mouse, Rat
  • Alternative names
    AAG6; PKCA; PRKACA; PKCI+/-; PKCalpha; PKC-alpha antibody
  • Isotype
    Rabbit IgG
  • Preparation
    Antigen: A synthetic phosphopeptide corresponding to residues surrounding Thr638 of human PKC alpha
  • Clonality
    Monoclonal
  • Formulation
    Supplied in 50nM Tris-Glycine(pH 7.4), 0.15M Nacl, 40%Glycerol, 0.01% sodium azide and 0.05% BSA.
  • Storage instructions
    Store at 4°C short term. Aliquot and store at -20°C long term. Avoid freeze / thaw cycle.
  • Applications

    1:2000

    1:50

    1:20

  • Validations

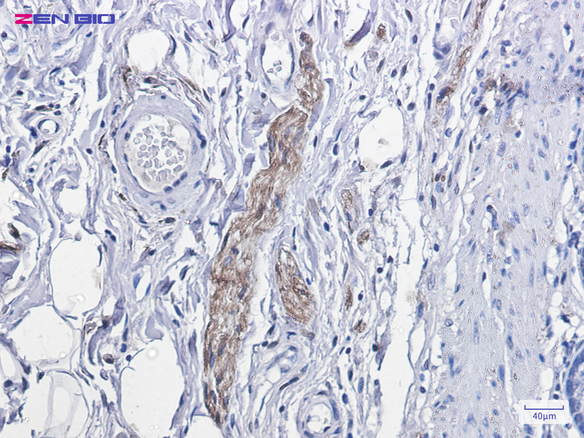
    Immunohistochemistry of Phospho-PKC alpha (Thr638) in paraffin-embedded human colon cancer tissue using Phospho-PKC alpha (Thr638) Rabbit mAb at dilution 1/100

    Immunohistochemistry of Phospho-PKC alpha (Thr638) in paraffin-embedded human colon cancer tissue using Phospho-PKC alpha (Thr638) Rabbit mAb at dilution 1/100

    Western blot detection of Phospho-PKC alpha (Thr638) in K562,C6 cell lysates using Phospho-PKC alpha (Thr638) Rabbit mAb(1:1000 diluted).Predicted band size:77kDa.Observed band size:80kDa.

    Western blot detection of Phospho-PKC alpha (Thr638) in K562,C6 cell lysates using Phospho-PKC alpha (Thr638) Rabbit mAb(1:1000 diluted).Predicted band size:77kDa.Observed band size:80kDa.

  • Background
    Swiss-Prot Acc.P17252.

Please note: All products are "FOR RESEARCH USE ONLY AND ARE NOT INTENDED FOR DIAGNOSTIC OR THERAPEUTIC USE"