Anti-Phospho-Paxillin (Tyr118) Rabbit antibody

Cat.#: 167120

Size:

Special Price 441.3 USD

Availability: In Stock
- +

Add to cart to get an online quotation

Product Information

  • Product Name
    Anti-Phospho-Paxillin (Tyr118) Rabbit antibody
  • Documents
  • Description
    Phospho-Paxillin (Tyr118) Rabbit polyclonal antibody
  • Tested applications
    WB, IHC-P
  • Species reactivity
    Human, Mouse, Rat
  • Isotype
    Rabbit IgG
  • Preparation
    Antigen: Peptide sequence around phosphorylation site of tyrosine 118 (H-V-Y(p)-S-F) derived from Human Paxillin.
  • Clonality
    Polyclonal
  • Formulation
    Supplied at 1.0mg/mL in phosphate buffered saline (without Mg2+ and Ca2+), pH 7.4, 150mM NaCl, 0.02% sodium azide and 50% glycerol.
  • Storage instructions
    Store at 4°C short term. Store at -20°C long term. Avoid freeze / thaw cycle.
  • Applications

    WB:1/500-1/1000IHC:1/50-1/100

  • Validations

    Western blot analysis of extracts from 3T3 cells untreated or treated with serum using Paxillin (Phospho-Tyr118) Antibody .

    Western blot analysis of extracts from 3T3 cells untreated or treated with serum using Paxillin (Phospho-Tyr118) Antibody .

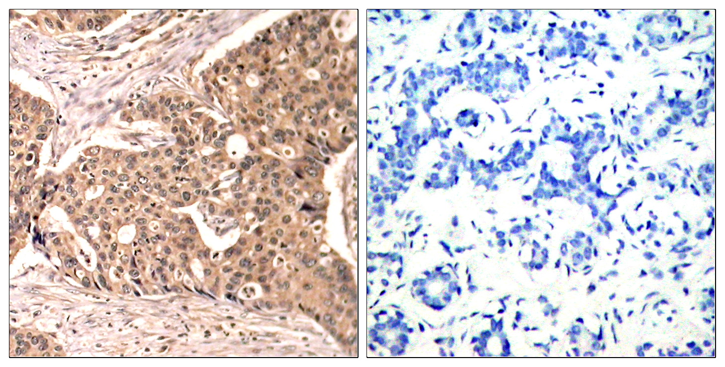
    Immunohistochemical analysis of paraffin-embedded human breast carcinoma tissue using Paxillin (Phospho-Tyr118) Antibody  (left) or the same antibody preincubated with blocking peptide (right).

    Immunohistochemical analysis of paraffin-embedded human breast carcinoma tissue using Paxillin (Phospho-Tyr118) Antibody (left) or the same antibody preincubated with blocking peptide (right).

    Western blot detection of Paxillin(Phospho-Tyr118) in serum-starved A549 cells untreated or treated with Alkaline phosphatase using Paxillin(Phospho-Tyr118) Rabbit pAb (dilution 1:1000, upper) or u03b2-Actin Mouse mAb (200068-8F10, lower)).Predicted band size:68kDa.Observed band size:68kDa.

    Western blot detection of Paxillin(Phospho-Tyr118) in serum-starved A549 cells untreated or treated with Alkaline phosphatase using Paxillin(Phospho-Tyr118) Rabbit pAb (dilution 1:1000, upper) or u03b2-Actin Mouse mAb (200068-8F10, lower)).Predicted band size:68kDa.Observed band size:68kDa.

  • Background
    Swiss-Prot Acc.P49023.

Please note: All products are "FOR RESEARCH USE ONLY AND ARE NOT INTENDED FOR DIAGNOSTIC OR THERAPEUTIC USE"