Anti-Phospho-c-Jun (Ser73) Rabbit antibody

Cat.#: 167147

Size:

Special Price 441.3 USD

Availability: In Stock
- +

Add to cart to get an online quotation

Product Information

  • Product Name
    Anti-Phospho-c-Jun (Ser73) Rabbit antibody
  • Documents
  • Description
    Phospho-c-Jun (Ser73) Rabbit polyclonal antibody
  • Tested applications
    WB, IHC-P
  • Species reactivity
    Human, Mouse, Rat
  • Isotype
    Rabbit IgG
  • Preparation
    Antigen: Peptide sequence around phosphorylation site of serine 73 (L-A-S(p)-P-E) derived from Human c-Jun.
  • Clonality
    Polyclonal
  • Formulation
    Supplied at 1.0mg/mL in phosphate buffered saline (without Mg2+ and Ca2+), pH 7.4, 150mM NaCl, 0.02% sodium azide and 50% glycerol.
  • Storage instructions
    Store at 4°C short term. Store at -20°C long term. Avoid freeze / thaw cycle.
  • Applications

    WB:1/500-1/1000IHC:1/50-1/100

  • Validations

    Western blot analysis of extracts from PC14 cells untreated or treated with EGF using c-Jun (Phospho-Ser73) Antibody .

    Western blot analysis of extracts from PC14 cells untreated or treated with EGF using c-Jun (Phospho-Ser73) Antibody .

    Western blot analysis of extracts from Hela cells, untreated or treated with UV, using c-Jun (Phospho-Ser73) Rabbit pAb (167147,1:500 diluted,upper) or Beta actin Mouse mAb (200068-8F10,lower).

    Western blot analysis of extracts from Hela cells, untreated or treated with UV, using c-Jun (Phospho-Ser73) Rabbit pAb (167147,1:500 diluted,upper) or Beta actin Mouse mAb (200068-8F10,lower).

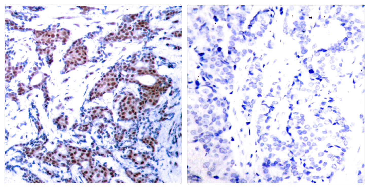
    Immunohistochemical analysis of paraffin-embedded human breast carcinoma tissue using c-Jun (Phospho-Ser73) Antibody (left) or the same antibody preincubated with blocking peptide (right).

    Immunohistochemical analysis of paraffin-embedded human breast carcinoma tissue using c-Jun (Phospho-Ser73) Antibody (left) or the same antibody preincubated with blocking peptide (right).

  • Background
    Swiss-Prot Acc.P05412.

Please note: All products are "FOR RESEARCH USE ONLY AND ARE NOT INTENDED FOR DIAGNOSTIC OR THERAPEUTIC USE"