Anti-Phospho-beta Catenin (Ser33) Rabbit antibody

Cat.#: 167144

Size:

Special Price 441.3 USD

Availability: In Stock
- +

Add to cart to get an online quotation

Product Information

  • Product Name
    Anti-Phospho-beta Catenin (Ser33) Rabbit antibody
  • Documents
  • Description
    Phospho-beta Catenin (Ser33) Rabbit polyclonal antibody
  • Tested applications
    WB, IHC-P, ICC/IF
  • Species reactivity
    Human, Mouse, Rat
  • Isotype
    Rabbit IgG
  • Preparation
    Antigen: Peptide sequence around phosphorylation site of serine 33 (L-D-S(p)-G-I) derived from Human β-Catenin.
  • Clonality
    Polyclonal
  • Formulation
    Supplied at 1.0mg/mL in phosphate buffered saline (without Mg2+ and Ca2+), pH 7.4, 150mM NaCl, 0.02% sodium azide and 50% glycerol.
  • Storage instructions
    Store at 4°C short term. Store at -20°C long term. Avoid freeze / thaw cycle.
  • Applications

    WB:1/500-1/1000IHC:1/50-1/100

  • Validations

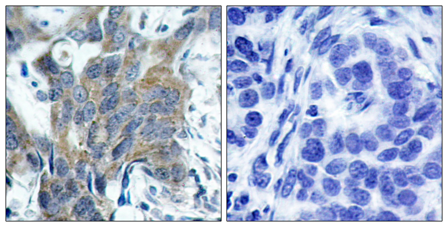
    Immunohistochemical analysis of paraffin-embedded human breast carcinoma tissue using u03b2-Catenin (Phospho-Ser33) Antibody  (left) or the same antibody preincubated with blocking peptide (right).

    Immunohistochemical analysis of paraffin-embedded human breast carcinoma tissue using u03b2-Catenin (Phospho-Ser33) Antibody (left) or the same antibody preincubated with blocking peptide (right).

    Western blot detection of u03b2-Catenin(Phospho-Ser33) in Hela cells untreated or Calyculin A-treated, using u03b2-Catenin(Phospho-Ser33) Rabbit pAb (dilution 1:1000, upper) or u03b2-Actin Mouse mAb (200068-8F10, lower).Predicted band size:92kDa.Observed band size:92kDa.

    Western blot detection of u03b2-Catenin(Phospho-Ser33) in Hela cells untreated or Calyculin A-treated, using u03b2-Catenin(Phospho-Ser33) Rabbit pAb (dilution 1:1000, upper) or u03b2-Actin Mouse mAb (200068-8F10, lower).Predicted band size:92kDa.Observed band size:92kDa.

    Western blot analysis of extracts from MCF-7 cells untreated or treated with Calyculin A using u03b2-Catenin (Phospho-Ser33) Antibody .

    Western blot analysis of extracts from MCF-7 cells untreated or treated with Calyculin A using u03b2-Catenin (Phospho-Ser33) Antibody .

  • Background
    Swiss-Prot Acc.P35222.

Please note: All products are "FOR RESEARCH USE ONLY AND ARE NOT INTENDED FOR DIAGNOSTIC OR THERAPEUTIC USE"