Anti-PAK2 (7H3) Mouse antibody

Cat.#: 168532

Size:

Special Price 441.3 USD

Availability: In Stock
- +

Add to cart to get an online quotation

Product Information

  • Product Name
    Anti-PAK2 (7H3) Mouse antibody
  • Documents
  • Description
    PAK2 (7H3) Mouse monoclonal antibody
  • Tested applications
    WB, IHC-P, ICC/IF
  • Species reactivity
    Human, Monkey
  • Isotype
    Mouse IgG1
  • Preparation
    Antigen: Purified recombinant fragment of PAK2 expressed in E. Coli.
  • Clonality
    Monoclonal
  • Formulation
    Ascitic fluid containing 0.03% sodium azide.
  • Storage instructions
    Store at 4°C short term. Store at -20°C long term. Avoid freeze / thaw cycle.
  • Applications

    WB: 1/500 - 1/2000

    IHC: 1/200 - 1/1000

    ICC: 1/200 - 1/1000

    ELISA: 1/10000

  • Validations

    Confocal immunofluorescence analysis of Hela cells using PAK2 mouse mAb (green). Blue: DRAQ5 fluorescent DNA dye.

    Confocal immunofluorescence analysis of Hela cells using PAK2 mouse mAb (green). Blue: DRAQ5 fluorescent DNA dye.

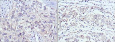
    Immunohistochemical analysis of paraffin-embedded human lung cancer (left) and gastric cancer (right) using PAK2 mouse mAb with DAB staining.

    Immunohistochemical analysis of paraffin-embedded human lung cancer (left) and gastric cancer (right) using PAK2 mouse mAb with DAB staining.

    Western blot detection of PAK2 in Jurkat,MCF7 and Hela cell lysates using PAK2 mouse mAb (1:5000 diluted).Predicted band size:61KDa.Observed band size:61KDa.

    Western blot detection of PAK2 in Jurkat,MCF7 and Hela cell lysates using PAK2 mouse mAb (1:5000 diluted).Predicted band size:61KDa.Observed band size:61KDa.

  • Background
    Swiss-Prot Acc.Q13177.PAK2, also known as P21 (CDKN1A)-activated kinase 2. The p21 activated kinases (PAK) are critical effectors that link Rho GTPases to cytoskeleton reorganization and nuclear signaling. The PAK proteins are a family of serine/threonine kinases that serve as targets for the small GTP binding proteins, CDC42 and RAC1, and have been implicated in a wide range of biological activities. PAK2 is activated by proteolytic cleavage during caspase-mediated apoptosis, and may play a role in regulating the apoptotic events in the dying cell. PAK2 has been shown to interact with SH3KBP1, CDC42 and Abl gene.

Please note: All products are "FOR RESEARCH USE ONLY AND ARE NOT INTENDED FOR DIAGNOSTIC OR THERAPEUTIC USE"