Anti-PABPN1 Rabbit antibody

Cat.#: 166856

Size:

Special Price 441.3 USD

Availability: In Stock
- +

Add to cart to get an online quotation

Product Information

  • Product Name
    Anti-PABPN1 Rabbit antibody
  • Documents
  • Description
    PABPN1 Rabbit polyclonal antibody
  • Tested applications
    WB, IHC-P, ICC/IF, FC, IP
  • Species reactivity
    Human, Mouse
  • Alternative names
    OPMD; PAB2; PABII; PABP2; PABP-2 antibody
  • Isotype
    Rabbit IgG
  • Preparation
    Antigen: A synthetic peptide of human PABPN1
  • Clonality
    Polyclonal
  • Formulation
    Supplied in 50nM Tris-Glycine(pH 7.4), 0.15M Nacl, 40%Glycerol, 0.01% sodium azide and 0.05% BSA.
  • Storage instructions
    Store at -20°C. Stable for 12 months from date of receipt.
  • Applications

    WB: 1/1000-1/5000

    IHC: 1/20-1/100

    ICC/IF: 1/20-1/50

    FC: 1/20

    IP: 1/20

  • Validations

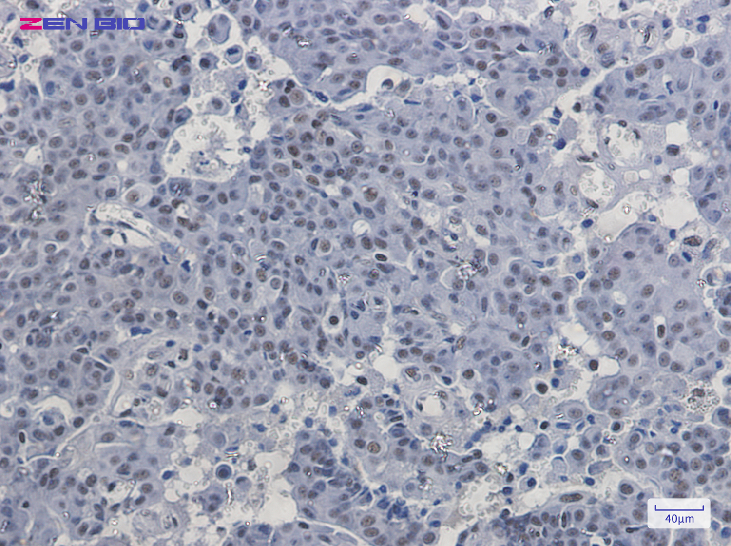
    Immunohistochemistry of PABPN1 in paraffin-embedded Human breast cancer tissue using PABPN1 Rabbit pAb at dilution 1/20

    Immunohistochemistry of PABPN1 in paraffin-embedded Human breast cancer tissue using PABPN1 Rabbit pAb at dilution 1/20

    Western blot detection of PABPN1 in Jurkat,Hela,COS7,Raji cell lysates using PABPN1 Rabbit pAb(1:1000 diluted).Predicted band size:33KDa.Observed band size:50KDa.

    Western blot detection of PABPN1 in Jurkat,Hela,COS7,Raji cell lysates using PABPN1 Rabbit pAb(1:1000 diluted).Predicted band size:33KDa.Observed band size:50KDa.

  • Background
    Swiss-Prot Acc.Q86U42.Involved in the 3'-end formation of mRNA precursors (pre-mRNA) by the addition of a poly(A) tail of 200-250 nt to the upstream cleavage product . Stimulates poly(A) polymerase (PAPOLA) conferring processivity on the poly(A) tail elongation reaction and controls also the poly(A) tail length . Increases the affinity of poly(A) polymerase for RNA . Is also present at various stages of mRNA metabolism including nucleocytoplasmic trafficking and nonsense-mediated decay (NMD) of mRNA. Cooperates with SKIP to synergistically activate E-box-mediated transcription through MYOD1 and may regulate the expression of muscle-specific genes (PubMed:11371506). Binds to poly(A) and to poly(G) with high affinity . May protect the poly(A) tail from degradation . Subunit of the trimeric poly(A) tail exosome targeting (PAXT) complex, a complex that directs a subset of long and polyadenylated poly(A) RNAs for exosomal degradation. The RNA exosome is fundamental for the degradation of RNA in eukaryotic nuclei. Substrate targeting is facilitated by its cofactor MTREX, which links to RNA-binding protein adapters (PubMed:27871484).

Please note: All products are "FOR RESEARCH USE ONLY AND ARE NOT INTENDED FOR DIAGNOSTIC OR THERAPEUTIC USE"