Anti-p42 MAPK (ERK2) (3F4) Mouse antibody

Cat.#: 168303

Size:

Special Price 441.3 USD

Availability: In Stock
- +

Add to cart to get an online quotation

Product Information

  • Product Name
    Anti-p42 MAPK (ERK2) (3F4) Mouse antibody
  • Documents
  • Description
    p42 MAPK (ERK2) (3F4) Mouse monoclonal antibody
  • Tested applications
    WB, IHC-P, ICC/IF
  • Species reactivity
    Human, Mouse, Monkey
  • Isotype
    Mouse IgG2a
  • Preparation
    Antigen: Purified recombinant fragment of human ERK2 expressed in E. Coli.
  • Clonality
    Monoclonal
  • Formulation
    Purified antibody in PBS containing 0.03% sodium azide.
  • Storage instructions
    Store at 4°C short term. Store at -20°C long term. Avoid freeze / thaw cycle.
  • Applications

    WB: 1/500 - 1/2000

    IHC: 1/200 - 1/1000

    ICC: 1/200 - 1/1000

    ELISA: 1/10000

  • Validations

    Western blot detection of p42 MAP Kinase (Erk2) in Jurkat,A549,MCF7,C6 and Hela cell lysates using p42 MAP Kinase (Erk2) mouse mAb (1:5000 diluted).Predicted band size:42KDa.Observed band size:42KDa.

    Western blot detection of p42 MAP Kinase (Erk2) in Jurkat,A549,MCF7,C6 and Hela cell lysates using p42 MAP Kinase (Erk2) mouse mAb (1:5000 diluted).Predicted band size:42KDa.Observed band size:42KDa.

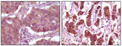
    Immunohistochemical analysis of paraffin-embedded human lung carcinoma (left) and breast carcinoma (right) showing cytoplasmic localization using ERK2 mouse mAb with DAB staining.

    Immunohistochemical analysis of paraffin-embedded human lung carcinoma (left) and breast carcinoma (right) showing cytoplasmic localization using ERK2 mouse mAb with DAB staining.

    Confocal immunofluorescence analysis of Eca-109 cells using ERK2 mouse mAb (green).

    Confocal immunofluorescence analysis of Eca-109 cells using ERK2 mouse mAb (green).

  • Background
    Swiss-Prot Acc.P28482.ERK2 (also designated extracellular-signal-related kinase 2 or mitogen-activated protein kinase 1), with 360-amino acid protein (about 40kDa), belongs to the MAP kinase family. MAP kinases act as an integration point for multiple biochemical signals, and are involved in a wide variety of cellular processes such as proliferation, differentiation, transcription regulation and development. The activation of ERK2 requires its phosphorylation by upstream kinases. ERK2 is located in the cytoplasm of resting cells and translocates into the nucleus upon extracellular stimuli by active transport of a dimer. ERK2 is essential for placental development and ERK2 in the trophoblast compartment may be indispensable for the vascularization of the labyrinth.

Please note: All products are "FOR RESEARCH USE ONLY AND ARE NOT INTENDED FOR DIAGNOSTIC OR THERAPEUTIC USE"