Anti-NF-kB p65 Rabbit antibody

Cat.#: 166684

Size:

Special Price 441.3 USD

Availability: In Stock
- +

Add to cart to get an online quotation

Product Information

  • Product Name
    Anti-NF-kB p65 Rabbit antibody
  • Documents
  • Description
    NF-kB p65 Rabbit polyclonal antibody
  • Tested applications
    WB, IHC-P, ICC/IF, IP, FC
  • Species reactivity
    Human, Mouse
  • Isotype
    Rabbit IgG
  • Preparation
    Antigen: A synthesized peptide derived from human NF-κB p65
  • Clonality
    Polyclonal
  • Formulation
    Rabbit IgG in phosphate buffered saline , pH 7.4, 150mM NaCl, 0.02% sodium azide and 50% glycerol.
  • Storage instructions
    Store at 4°C short term. Store at -20°C long term. Avoid freeze / thaw cycle.
  • Applications

    WB: 1/5000-1/10000

    IHC: 1/50-1/100

    ICC/IF: 1/50-1/100

  • Validations

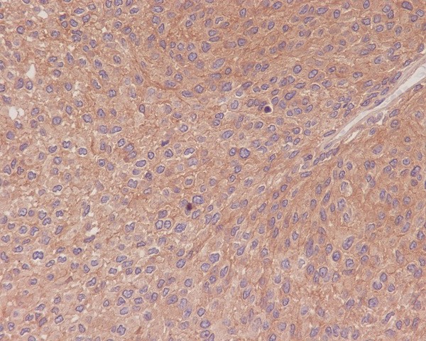
    Immunohistochemical analysis of paraffin-embedded human transitional cell carcinoma of bladder, using NF-κB p65 Antibody.

    Immunohistochemical analysis of paraffin-embedded human transitional cell carcinoma of bladder, using NF-κB p65 Antibody.

    Western blot analysis of NF-kB p65 expression in MCF7,Hela,Molt-4,Raji and Jurkat cell lysates using NF-kB p65 antibody at 1/5000 dilution.Predicted band size:65KDa.Observed band size:65KDa.

    Western blot analysis of NF-kB p65 expression in MCF7,Hela,Molt-4,Raji and Jurkat cell lysates using NF-kB p65 antibody at 1/5000 dilution.Predicted band size:65KDa.Observed band size:65KDa.

    Western blot analysis of NF-κB p65 expression in HeLa cell lysate.

    Western blot analysis of NF-κB p65 expression in HeLa cell lysate.

    Immunofluorescent analysis of HT-1080 cells, using NF-κB p65 Antibody .

    Immunofluorescent analysis of HT-1080 cells, using NF-κB p65 Antibody .

  • Background
    Swiss-Prot Acc.Q04206.NFKB1 (MIM 164011) or NFKB2 (MIM 164012) is bound to REL (MIM 164910), RELA, or RELB (MIM 604758) to form the NFKB complex. The p50 (NFKB1)/p65 (RELA) heterodimer is the most abundant form of NFKB. The NFKB complex is inhibited by I-kappa-B proteins (NFKBIA, MIM 164008 or NFKBIB, MIM 604495), which inactivate NFKB by trapping it in the cytoplasm.

Please note: All products are "FOR RESEARCH USE ONLY AND ARE NOT INTENDED FOR DIAGNOSTIC OR THERAPEUTIC USE"