Anti-Neurod2 antibody

Cat.#: 176587

Size:

Special Price 241.9 USD

Availability: In Stock
- +

Add to cart to get an online quotation

Product Information

  • Product Name
    Anti-Neurod2 antibody
  • Documents
  • Description
    Rabbit monoclonal antibody to Neurod2
  • Tested applications
    IHC-P, ChIP, WB
  • Species reactivity
    Mouse, Rat, Human
  • Alternative names
    Nd antibody; Ndrf antibody; bHLH antibody; bHLHa1 antibody
  • Isotype
    Rabbit IgG
  • Preparation
    This antigen of this antibody was recombinant protein within human neurod2 aa 282-382.
  • Clonality
    Monoclonal
  • Formulation
    Liquid, 1*TBS (pH7.4), 0.05% BSA, 40% Glycerol. Preservative: 0.05% Sodium Azide.
  • Storage instructions
    Store at +4℃ after thawing. Aliquot store at -20℃. Avoid repeated freeze / thaw cycles.
  • Applications

    IHC-P:1:50-1:200

    WB: 1:500

  • Validations

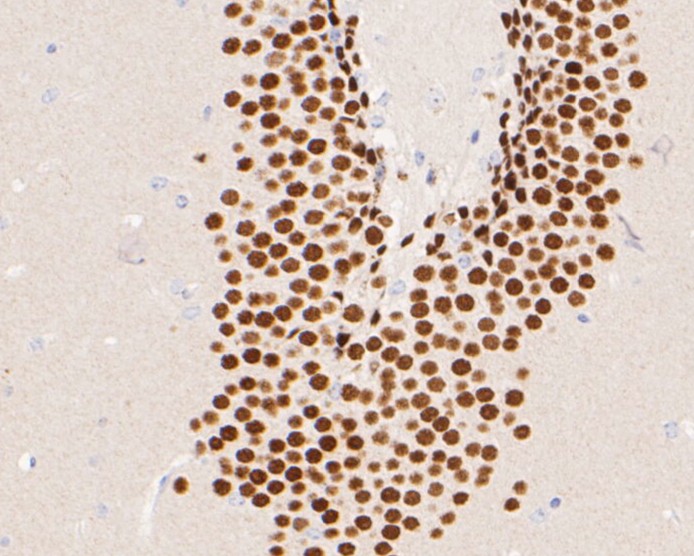
    Fig1: Immunohistochemical analysis of paraffin-embedded rat brain tissue using anti-NeuroD2 antibody. The section was pre-treated using heat mediated antigen retrieval with sodium citrate buffer (pH 6.0) for 20 minutes. The tissues were blocked in 5% BSA for 30 minutes at room temperature, washed with ddH2O and PBS, and then probed with the primary antibody ( 1/50) for 30 minutes at room temperature. The detection was performed using an HRP conjugated compact polymer system. DAB was used as the chromogen. Tissues were counterstained with hematoxylin and mounted with DPX.

    Fig1: Immunohistochemical analysis of paraffin-embedded rat brain tissue using anti-NeuroD2 antibody. The section was pre-treated using heat mediated antigen retrieval with sodium citrate buffer (pH 6.0) for 20 minutes. The tissues were blocked in 5% BSA for 30 minutes at room temperature, washed with ddH2O and PBS, and then probed with the primary antibody ( 1/50) for 30 minutes at room temperature. The detection was performed using an HRP conjugated compact polymer system. DAB was used as the chromogen. Tissues were counterstained with hematoxylin and mounted with DPX.

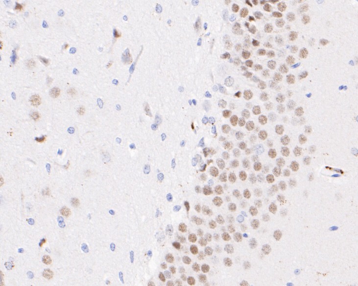
    Fig2: Immunohistochemical analysis of paraffin-embedded mouse brain tissue using anti-NeuroD2 antibody. The section was pre-treated using heat mediated antigen retrieval with sodium citrate buffer (pH 6.0) for 20 minutes. The tissues were blocked in 5% BSA for 30 minutes at room temperature, washed with ddH2O and PBS, and then probed with the primary antibody ( 1/50) for 30 minutes at room temperature. The detection was performed using an HRP conjugated compact polymer system. DAB was used as the chromogen. Tissues were counterstained with hematoxylin and mounted with DPX.

    Fig2: Immunohistochemical analysis of paraffin-embedded mouse brain tissue using anti-NeuroD2 antibody. The section was pre-treated using heat mediated antigen retrieval with sodium citrate buffer (pH 6.0) for 20 minutes. The tissues were blocked in 5% BSA for 30 minutes at room temperature, washed with ddH2O and PBS, and then probed with the primary antibody ( 1/50) for 30 minutes at room temperature. The detection was performed using an HRP conjugated compact polymer system. DAB was used as the chromogen. Tissues were counterstained with hematoxylin and mounted with DPX.

  • Background
  • References
    • Spellmann I. et. al. Associations of NEUROD2 polymorphisms and change of cognitive dysfunctions in schizophrenia and schizoaffective disorder after eight weeks of antipsychotic treatment. Cogn Neuropsychiatry. 2017 Jul;22(4):280-297.
    • Agrawal R. et. al. p53 and miR-210 regulated NeuroD2, a neuronal basic helix-loop-helix transcription factor, is downregulated in glioblastoma patients and functions as a tumor suppressor under hypoxic microenvironment. Int J Cancer. 2018 May 1;142(9):1817-1828.

Please note: All products are "FOR RESEARCH USE ONLY AND ARE NOT INTENDED FOR DIAGNOSTIC OR THERAPEUTIC USE"