Anti-JNK1 (1A4) Mouse antibody

Cat.#: 168281

Special Price 123.9 USD

Availability: In Stock
- +

Add to cart to get an online quotation

Product Information

  • Product Name
    Anti-JNK1 (1A4) Mouse antibody
  • Documents
  • Description
    JNK1 (1A4) Mouse monoclonal antibody
  • Tested applications
    WB, ICC/IF
  • Species reactivity
    Human, Mouse, Rat
  • Alternative names
    AI849689 ;c Jun N terminal kinase 1 ;C-JUN kinase 1 ;c-Jun N-terminal kinase 1 ;EC 2.7.11.24 ;JAK 1A ;JAK1A ;JNK 1 ;JNK 46 ;JNK ;JNK-46 ;JNK1A2 ;JNK21B1/2 ;MAP kinase 8 ;MAPK 8 ;MAPK8 ;Mitogen activated protein kinase 8 ;Mitogen-activated protein kinase 8 antibody
  • Isotype
    Mouse IgG2a
  • Preparation
    Antigen: Purified recombinant human JNK1 protein fragments expressed in E.coli.
  • Clonality
    Monoclonal
  • Formulation
    PBS(pH 7.4) containing with 0.03% Proclin300 and 50% glycerol.
  • Storage instructions
    Store at 4°C short term. Store at -20°C long term. Avoid freeze / thaw cycle.
  • Applications

    WB: 1/1000

    ;ICC: 1/100

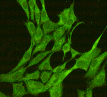
  • Validations

    Immunofluorescent analysis of 3T3 cells fixed by anhydrous methanol for 2 h at -20u2103 and using anti-JNK1 mouse mAb (dilution 1:100).

    Immunofluorescent analysis of 3T3 cells fixed by anhydrous methanol for 2 h at -20u2103 and using anti-JNK1 mouse mAb (dilution 1:100).

    Western blot detection of JNK1 in C6 and 3T3 cell lysates using JNK1 mouse mAb (1:1000 diluted).Predicted band size:46,54KDa.Observed band size:46KDa.

    Western blot detection of JNK1 in C6 and 3T3 cell lysates using JNK1 mouse mAb (1:1000 diluted).Predicted band size:46,54KDa.Observed band size:46KDa.

    Western blot detection of JNK1 in CHO-K1 cell lysate(B) and CHO-K1 transfected by JNK1-fragment fusion protein(A) cell lysate using JNK1 mouse mAb (1:2000 diluted).Predicted band size:46,54KDa.Observed band size:46,54KDa.

    Western blot detection of JNK1 in CHO-K1 cell lysate(B) and CHO-K1 transfected by JNK1-fragment fusion protein(A) cell lysate using JNK1 mouse mAb (1:2000 diluted).Predicted band size:46,54KDa.Observed band size:46,54KDa.

  • Background
    Swiss-Prot Acc.P45983.Serine/threonine-protein kinase involved in various processes such as cell proliferation, differentiation, migration, transformation and programmed cell death. Extracellular stimuli such as proinflammatory cytokines or physical stress stimulate the stress-activated protein kinase/c-Jun N-terminal kinase (SAP/JNK) signaling pathway. In this cascade, two dual specificity kinases MAP2K4/MKK4 and MAP2K7/MKK7 phosphorylate and activate MAPK8/JNK1. In turn, MAPK8/JNK1 phosphorylates a number of transcription factors, primarily components of AP-1 such as JUN, JDP2 and ATF2 and thus regulates AP-1 transcriptional activity. Phosphorylates the replication licensing factor CDT1, inhibiting the interaction between CDT1 and the histone H4 acetylase HBO1 to replication origins. Loss of this interaction abrogates the acetylation required for replication initiation. Promotes stressed cell apoptosis by phosphorylating key regulatory factors including p53/TP53 and Yes-associates protein YAP1. In T-cells, MAPK8 and MAPK9 are required for polarized differentiation of T-helper cells into Th1 cells. Contributes to the survival of erythroid cells by phosphorylating the antagonist of cell death BAD upon EPO stimulation. Mediates starvation-induced BCL2 phosphorylation, BCL2 dissociation from BECN1, and thus activation of autophagy. Phosphorylates STMN2 and hence regulates microtubule dynamics, controlling neurite elongation in cortical neurons. In the developing brain, through its cytoplasmic activity on STMN2, negatively regulates the rate of exit from multipolar stage and of radial migration from the ventricular zone. Phosphorylates several other substrates including heat shock factor protein 4 (HSF4), the deacetylase SIRT1, ELK1, or the E3 ligase ITCH. Phosphorylates the CLOCK-ARNTL/BMAL1 heterodimer and plays a role in the regulation of the circadian clock.

Please note: All products are "FOR RESEARCH USE ONLY AND ARE NOT INTENDED FOR DIAGNOSTIC OR THERAPEUTIC USE"