Anti-IGHG4 antibody

Cat.#: 176518

Size:

Special Price 241.9 USD

Availability: In Stock
- +

Add to cart to get an online quotation

Product Information

  • Product Name
    Anti-IGHG4 antibody
  • Documents
  • Description
    Rabbit monoclonal antibody to IGHG4
  • Tested applications
    WB, IHC-P
  • Species reactivity
    Human
  • Isotype
    Rabbit IgG
  • Preparation
    This antigen of this antibody was synthetic peptide within human igg4 aa 90-130.
  • Clonality
    Monoclonal
  • Formulation
    Liquid, 1*TBS (pH7.4), 0.05% BSA, 40% Glycerol. Preservative: 0.05% Sodium Azide.
  • Storage instructions
    Store at +4℃ after thawing. Aliquot store at -20℃ or -80℃. Avoid repeated freeze / thaw cycles.
  • Applications

    WB: 1:500-1:5,000

    IHC-P: 1:50-1:200

  • Validations

    Fig1:; Western blot analysis of IgG4 on human plasma lysates. Proteins were transferred to a PVDF membrane and blocked with 5% BSA in PBS for 1 hour at room temperature. The primary antibody ( 1/500) was used in 5% BSA at room temperature for 2 hours. Goat Anti-Rabbit IgG - HRP Secondary Antibody (HA1001) at 1:5,000 dilution was used for 1 hour at room temperature.

    Fig1:; Western blot analysis of IgG4 on human plasma lysates. Proteins were transferred to a PVDF membrane and blocked with 5% BSA in PBS for 1 hour at room temperature. The primary antibody ( 1/500) was used in 5% BSA at room temperature for 2 hours. Goat Anti-Rabbit IgG - HRP Secondary Antibody (HA1001) at 1:5,000 dilution was used for 1 hour at room temperature.

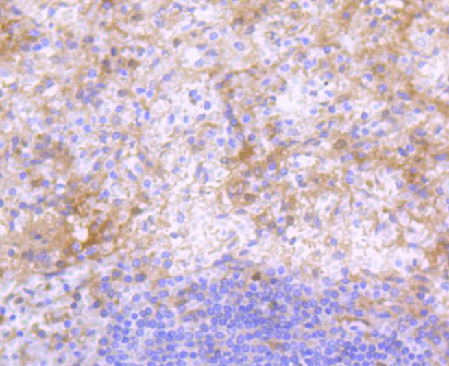
    Fig2:; Immunohistochemical analysis of paraffin-embedded human tonsil tissue using anti-IgG4 antibody. The section was pre-treated using heat mediated antigen retrieval with Tris-EDTA buffer (pH 8.0-8.4) for 20 minutes.The tissues were blocked in 5% BSA for 30 minutes at room temperature, washed with ddH; 2; O and PBS, and then probed with the primary antibody ( 1/200) for 30 minutes at room temperature. The detection was performed using an HRP conjugated compact polymer system. DAB was used as the chromogen. Tissues were counterstained with hematoxylin and mounted with DPX.

    Fig2:; Immunohistochemical analysis of paraffin-embedded human tonsil tissue using anti-IgG4 antibody. The section was pre-treated using heat mediated antigen retrieval with Tris-EDTA buffer (pH 8.0-8.4) for 20 minutes.The tissues were blocked in 5% BSA for 30 minutes at room temperature, washed with ddH; 2; O and PBS, and then probed with the primary antibody ( 1/200) for 30 minutes at room temperature. The detection was performed using an HRP conjugated compact polymer system. DAB was used as the chromogen. Tissues were counterstained with hematoxylin and mounted with DPX.

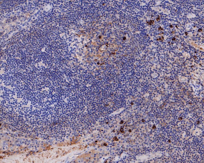
    Fig3:; Immunohistochemical analysis of paraffin-embedded human spleen tissue using anti-IgG4 antibody. The section was pre-treated using heat mediated antigen retrieval with Tris-EDTA buffer (pH 8.0-8.4) for 20 minutes.The tissues were blocked in 5% BSA for 30 minutes at room temperature, washed with ddH; 2; O and PBS, and then probed with the primary antibody ( 1/50) for 30 minutes at room temperature. The detection was performed using an HRP conjugated compact polymer system. DAB was used as the chromogen. Tissues were counterstained with hematoxylin and mounted with DPX.

    Fig3:; Immunohistochemical analysis of paraffin-embedded human spleen tissue using anti-IgG4 antibody. The section was pre-treated using heat mediated antigen retrieval with Tris-EDTA buffer (pH 8.0-8.4) for 20 minutes.The tissues were blocked in 5% BSA for 30 minutes at room temperature, washed with ddH; 2; O and PBS, and then probed with the primary antibody ( 1/50) for 30 minutes at room temperature. The detection was performed using an HRP conjugated compact polymer system. DAB was used as the chromogen. Tissues were counterstained with hematoxylin and mounted with DPX.

  • Background
  • References
    • Ma JM et al. Clinical research on benign lymphoepithelial lesions of lacrimal gland in 20 Chinese patients. Chin Med J (Engl) 128:493-8 (2015).
    • Zhang R et al. Clinicopathological analysis of 12 patients with autoimmune pancreatitis. Exp Ther Med 10:121-126 (2015).

Please note: All products are "FOR RESEARCH USE ONLY AND ARE NOT INTENDED FOR DIAGNOSTIC OR THERAPEUTIC USE"