Anti-IFNA4 antibody

Cat.#: 175506

Size:

Special Price 241.9 USD

Availability: In Stock
- +

Add to cart to get an online quotation

Product Information

  • Product Name
    Anti-IFNA4 antibody
  • Documents
  • Description
    Rabbit polyclonal antibody to IFNA4
  • Tested applications
    WB, IHC-P
  • Species reactivity
    Human, Mouse
  • Alternative names
    INFA4 antibody; IFN-alpha4a antibody
  • Isotype
    Rabbit IgG
  • Preparation
    This antigen of this antibody was klh conjugated synthetic peptide derived from human ifna4 101-189/189
  • Clonality
    Polyclonal
  • Formulation
    Liquid, 0.01M TBS(pH7.4) with 1% BSA, 0.03% Proclin300 and 50% Glycerol.
  • Storage instructions
    Store at -20℃ for one year. Avoid repeated freeze/thaw cycles. The lyophilized antibody is stable at room temperature for at least one month and for greater than a year when kept at -20℃. When reconstituted in sterile pH 7.4 0.01M PBS or diluent of antibody the antibody is stable for at least two weeks at 2-4℃.
  • Applications

    WB:1:500-2000

    IHC-P:1:400-800

  • Validations

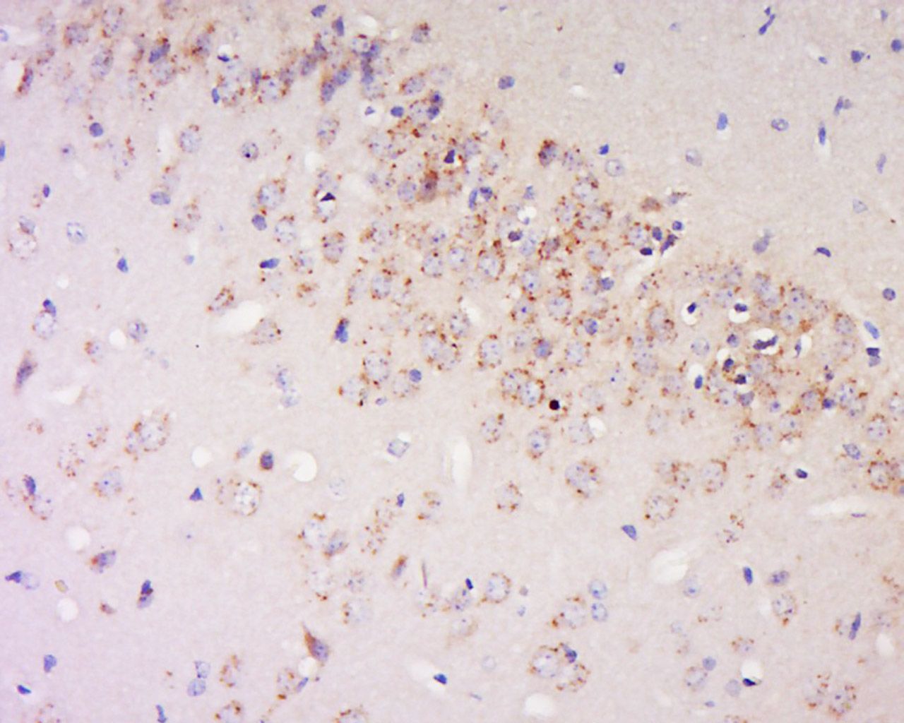
    Fig1: Tissue/cell: mouse brain tissue; 4% Paraformaldehyde-fixed and paraffin-embedded;; Antigen retrieval: citrate buffer ( 0.01M, pH 6.0 ), Boiling bathing for 15min; Block endogenous peroxidase by 3% Hydrogen peroxide for 30min; Blocking buffer (normal goat serum,C-0005) at 37℃ for 20 min;; Incubation: Anti-IFNA4 Polyclonal Antibody, Unconjugated 1:500, overnight at 4℃, followed by conjugation to the secondary antibody(SP-0023) and DAB(C-0010) staining

    Fig1: Tissue/cell: mouse brain tissue; 4% Paraformaldehyde-fixed and paraffin-embedded;; Antigen retrieval: citrate buffer ( 0.01M, pH 6.0 ), Boiling bathing for 15min; Block endogenous peroxidase by 3% Hydrogen peroxide for 30min; Blocking buffer (normal goat serum,C-0005) at 37℃ for 20 min;; Incubation: Anti-IFNA4 Polyclonal Antibody, Unconjugated 1:500, overnight at 4℃, followed by conjugation to the secondary antibody(SP-0023) and DAB(C-0010) staining

    Fig2: Sample:; Brain (Mouse) Lysate at 40 ug; Primary: Anti- IFNA4 at 1/300 dilution; Secondary: IRDye800CW Goat Anti-Rabbit IgG at 1/20000 dilution; Predicted band size: 22 kD; Observed band size: 20 kD

    Fig2: Sample:; Brain (Mouse) Lysate at 40 ug; Primary: Anti- IFNA4 at 1/300 dilution; Secondary: IRDye800CW Goat Anti-Rabbit IgG at 1/20000 dilution; Predicted band size: 22 kD; Observed band size: 20 kD

  • Background

Please note: All products are "FOR RESEARCH USE ONLY AND ARE NOT INTENDED FOR DIAGNOSTIC OR THERAPEUTIC USE"