Anti-HP1 gamma Rabbit antibody

Cat.#: 167366

Size:

Special Price 441.3 USD

Availability: In Stock
- +

Add to cart to get an online quotation

Product Information

  • Product Name
    Anti-HP1 gamma Rabbit antibody
  • Documents
  • Description
    HP1 gamma Rabbit polyclonal antibody
  • Tested applications
    WB, IHC-P, ICC/IF, FC, IP
  • Species reactivity
    Human, Mouse, Rat
  • Alternative names
    HECH; HP1-GAMMA; HP1Hs-gamma antibody
  • Isotype
    Rabbit IgG
  • Preparation
    Antigen: A synthetic peptide of mouse HP1 gamma
  • Clonality
    Polyclonal
  • Formulation
    Supplied in 50nM Tris-Glycine(pH 7.4), 0.15M Nacl, 40%Glycerol, 0.01% sodium azide and 0.05% BSA.
  • Storage instructions
    Store at -20°C. Stable for 12 months from date of receipt.
  • Applications

    WB: 1/1000

    IHC: 1/20-1/500

    ICC/IF: 1/50

    FC: 1/50

    IP: 1/20

  • Validations

    Western blot detection of HP1 gamma in K562,C6,3T3 cell lysates using HP1 gamma Rabbit pAb(1:1000 diluted).Predicted band size:21kDa.Observed band size:21kDa.

    Western blot detection of HP1 gamma in K562,C6,3T3 cell lysates using HP1 gamma Rabbit pAb(1:1000 diluted).Predicted band size:21kDa.Observed band size:21kDa.

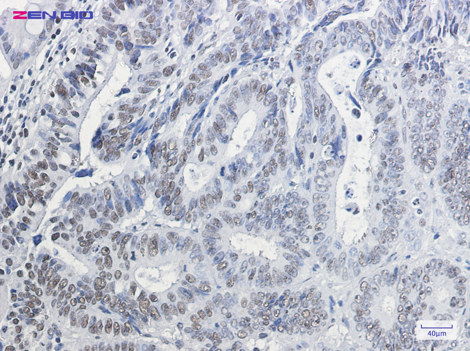
    Immunohistochemistry of HP1 gamma in paraffin-embedded Human colon cancer tissue using HP1 gamma Rabbit pAb at dilution 1/20

    Immunohistochemistry of HP1 gamma in paraffin-embedded Human colon cancer tissue using HP1 gamma Rabbit pAb at dilution 1/20

  • Background
    Swiss-Prot Acc.P23198.Component of heterochromatin. Recognizes and binds histone H3 tails methylated at 'Lys-9', leading to epigenetic repression. Probably involved in the repression of many genes located in euchromatin, such as E2F1, MYC and CDC25A. Involved in the formation of functional kinetochore through interaction with MIS12 complex proteins. Contributes to the conversion of local chromatin to a heterochromatin-like repressive state through H3 'Lys-9' trimethylation, mediates the recruitment of the methyltransferases SUV39H1 and/or SUV39H2 by the PER complex to the E-box elements of the circadian target genes such as PER2 itself or PER1 (PubMed:24413057). Mediates the recruitement of NIPBL to sites of DNA damage at double-strand breaks (DSBs) .

Please note: All products are "FOR RESEARCH USE ONLY AND ARE NOT INTENDED FOR DIAGNOSTIC OR THERAPEUTIC USE"