Anti-HDAC2 Rabbit antibody

Cat.#: 166692

Size:

Special Price 441.3 USD

Availability: In Stock
- +

Add to cart to get an online quotation

Product Information

  • Product Name
    Anti-HDAC2 Rabbit antibody
  • Documents
  • Description
    HDAC2 Rabbit polyclonal antibody
  • Tested applications
    WB, IHC-P, ICC/IF
  • Species reactivity
    Human, Mouse, Rat
  • Isotype
    Rabbit IgG
  • Preparation
    Antigen: Peptide sequence around aa. 392~396 (E-D-S-G-D) derived from Human HDAC2.
  • Clonality
    Polyclonal
  • Formulation
    Supplied at 1.0mg/mL in phosphate buffered saline (without Mg2+ and Ca2+), pH 7.4, 150mM NaCl, 0.02% sodium azide and 50% glycerol.
  • Storage instructions
    Store at 4°C short term. Store at -20°C long term. Avoid freeze / thaw cycle.
  • Applications

    WB: 1/1/500

    ICC: 1/1/100-1/1/200

    IHC: 1/1/50-1/1/100

  • Validations

    Western blot analysis of extracts from 293,3T3 and COS7 cells using HDAC2 (Ab-394) rabbit pAb (1:500 diluted).Predicted band size: 60KDa.Observed band size: 60KDa.

    Western blot analysis of extracts from 293,3T3 and COS7 cells using HDAC2 (Ab-394) rabbit pAb (1:500 diluted).Predicted band size: 60KDa.Observed band size: 60KDa.

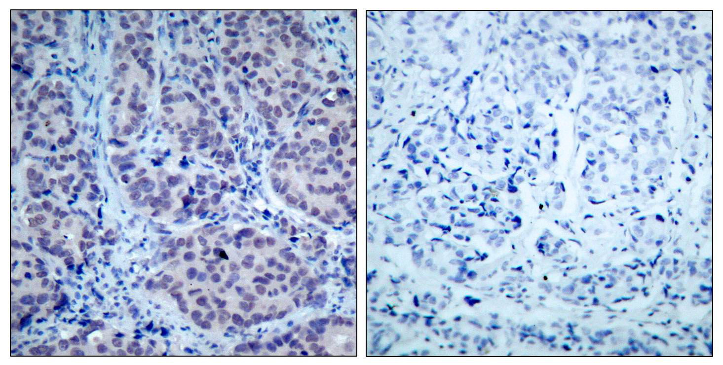
    Immunohistochemical analysis of paraffin-embedded human breast carcinoma tissue using HDAC2 (Ab-394) Antibody  (left) or the same antibody preincubated with blocking peptide (right).

    Immunohistochemical analysis of paraffin-embedded human breast carcinoma tissue using HDAC2 (Ab-394) Antibody (left) or the same antibody preincubated with blocking peptide (right).

    Immunofluorescence staining of methanol-fixed Hela cells using HDAC2 (Ab-394) Antibody .

    Immunofluorescence staining of methanol-fixed Hela cells using HDAC2 (Ab-394) Antibody .

  • Background
    Swiss-Prot Acc.Q92769.

Please note: All products are "FOR RESEARCH USE ONLY AND ARE NOT INTENDED FOR DIAGNOSTIC OR THERAPEUTIC USE"