Anti-GSK3 beta (9B1) Mouse antibody

Cat.#: 168148

Size:

Special Price 441.3 USD

Availability: In Stock
- +

Add to cart to get an online quotation

Product Information

  • Product Name
    Anti-GSK3 beta (9B1) Mouse antibody
  • Documents
  • Description
    GSK3 beta (9B1) Mouse monoclonal antibody
  • Tested applications
    WB, IHC-P
  • Species reactivity
    Human, Rat, Mouse
  • Isotype
    Mouse IgG1
  • Preparation
    Antigen: Synthetic peptide conjugated to KLH.
  • Clonality
    Monoclonal
  • Formulation
    PBS(pH 7.4) containing with 0.02% sodium azide and 50% glycerol.
  • Storage instructions
    Store at 4°C short term. Store at -20°C long term. Avoid freeze / thaw cycle.
  • Applications

    WB: 1/1;000-2;000

    IHC: 1/100-200

  • Validations

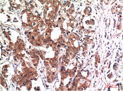
    Immunohistochemical analysis of paraffin-embedded Human Breast Carcinoma Tissue using GSK3β Mouse mAb diluted at 1:200.

    Immunohistochemical analysis of paraffin-embedded Human Breast Carcinoma Tissue using GSK3β Mouse mAb diluted at 1:200.

    Western blot detection of GSK3β in Goat muscle,CHO-K1,C6,Hela,3T3 cell lysates using GSK3β (9B1) Mouse mAb(1:1000 diluted).Predicted band size:46KDa.Observed band size:46KDa.

    Western blot detection of GSK3β in Goat muscle,CHO-K1,C6,Hela,3T3 cell lysates using GSK3β (9B1) Mouse mAb(1:1000 diluted).Predicted band size:46KDa.Observed band size:46KDa.

    Western blot analysis of 1) Hela Cell Lysate, 2) 3T3 Cell Lysate, 3) Rat Brain Tissue Lysate using GSK3β Mouse mAb diluted at 1:1000.

    Western blot analysis of 1) Hela Cell Lysate, 2) 3T3 Cell Lysate, 3) Rat Brain Tissue Lysate using GSK3β Mouse mAb diluted at 1:1000.

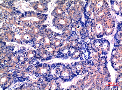
    Immunohistochemical analysis of paraffin-embedded Human Stomach Carcinoma Tissue using GSK3β Mouse mAb diluted at 1:200.

    Immunohistochemical analysis of paraffin-embedded Human Stomach Carcinoma Tissue using GSK3β Mouse mAb diluted at 1:200.

  • Background
    Swiss-Prot Acc.P49841.Constitutively active protein kinase that acts as a negative regulator in the hormonal control of glucose homeostasis, Wnt signaling and regulation of transcription factors and microtubules, by phosphorylating and inactivating glycogen synthase (GYS1 or GYS2), EIF2B, CTNNB1/beta-catenin, APC, AXIN1, DPYSL2/CRMP2, JUN, NFATC1/NFATC, MAPT/TAU and MACF1. Requires primed phosphorylation of the majority of its substrates. In skeletal muscle, contributes to insulin regulation of glycogen synthesis by phosphorylating and inhibiting GYS1 activity and hence glycogen synthesis. May also mediate the development of insulin resistance by regulating activation of transcription factors. Regulates protein synthesis by controlling the activity of initiation factor 2B (EIF2BE/EIF2B5) in the same manner as glycogen synthase. In Wnt signaling, GSK3B forms a multimeric complex with APC, AXIN1 and CTNNB1/beta-catenin and phosphorylates the N-terminus of CTNNB1 leading to its degradation mediated by ubiquitin/proteasomes. Phosphorylates JUN at sites proximal to its DNA-binding domain, thereby reducing its affinity for DNA. Phosphorylates NFATC1/NFATC on conserved serine residues promoting NFATC1/NFATC nuclear export, shutting off NFATC1/NFATC gene regulation, and thereby opposing the action of calcineurin. Phosphorylates MAPT/TAU on 'Thr-548', decreasing significantly MAPT/TAU ability to bind and stabilize microtubules. MAPT/TAU is the principal component of neurofibrillary tangles in Alzheimer disease. Plays an important role in ERBB2-dependent stabilization of microtubules at the cell cortex. Phosphorylates MACF1, inhibiting its binding to microtubules which is critical for its role in bulge stem cell migration and skin wound repair. Probably regulates NF-kappa-B (NFKB1) at the transcriptional level and is required for the NF-kappa-B-mediated anti-apoptotic response to TNF-alpha (TNF/TNFA). Negatively regulates replication in pancreatic beta-cells, resulting in apoptosis, loss of beta-cells and diabetes. Through phosphorylation of the anti-apoptotic protein MCL1, may control cell apoptosis in response to growth factors deprivation. Phosphorylates MUC1 in breast cancer cells, decreasing the interaction of MUC1 with CTNNB1/beta-catenin. Is necessary for the establishment of neuronal polarity and axon outgrowth. Phosphorylates MARK2, leading to inhibit its activity. Phosphorylates SIK1 at 'Thr-182', leading to sustain its activity. Phosphorylates ZC3HAV1 which enhances its antiviral activity. Phosphorylates SNAI1, leading to its BTRC-triggered ubiquitination and proteasomal degradation. Phosphorylates SFPQ at 'Thr-687' upon T-cell activation. Phosphorylates NR1D1 st 'Ser-55' and 'Ser-59' and stabilizes it by protecting it from proteasomal degradation. Regulates the circadian clock via phosphorylation of the major clock components including ARNTL/BMAL1, CLOCK and PER2. Phosphorylates CLOCK AT 'Ser-427' and targets it for proteasomal degradation. Phosphorylates ARNTL/BMAL1 at 'Ser-17' and 'Ser-21' and primes it for ubiquitination and proteasomal degradation. Phosphorylates OGT at 'Ser-3' or 'Ser-4' which positively regulates its activity. Phosphorylates MYCN in neuroblastoma cells which may promote its degradation (PubMed:24391509).

Please note: All products are "FOR RESEARCH USE ONLY AND ARE NOT INTENDED FOR DIAGNOSTIC OR THERAPEUTIC USE"