Anti-GSK3 alpha (1B10) Mouse antibody

Cat.#: 168304

Size:

Special Price 441.3 USD

Availability: In Stock
- +

Add to cart to get an online quotation

Product Information

  • Product Name
    Anti-GSK3 alpha (1B10) Mouse antibody
  • Documents
  • Description
    GSK3 alpha (1B10) Mouse monoclonal antibody
  • Tested applications
    WB, IHC-P
  • Species reactivity
    Human
  • Isotype
    Mouse IgG
  • Preparation
    Antigen: Purified recombinant fragment of GSK3 alpha expressed in E. Coli.
  • Clonality
    Monoclonal
  • Formulation
    Ascitic fluid containing 0.03% sodium azide.
  • Storage instructions
    Store at 4°C short term. Store at -20°C long term. Avoid freeze / thaw cycle.
  • Applications

    WB: 1/500 - 1/2000

    IHC: 1/200 - 1/1000

    ELISA: 1/10000

  • Validations

    Western blot detection of GSK-3α in Jurkat,A549 and MCF7 cell lysates using GSK-3α mouse mAb (1:1000 diluted).Predicted band size:51KDa.Observed band size:51KDa.

    Western blot detection of GSK-3α in Jurkat,A549 and MCF7 cell lysates using GSK-3α mouse mAb (1:1000 diluted).Predicted band size:51KDa.Observed band size:51KDa.

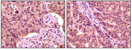
    Immunohistochemical analysis of paraffin-embedded human lung carcinoma (left) and skin carcinoma (right), showing cytoplasmic localization using GSK3 aphpa mouse mAb with DAB staining.

    Immunohistochemical analysis of paraffin-embedded human lung carcinoma (left) and skin carcinoma (right), showing cytoplasmic localization using GSK3 aphpa mouse mAb with DAB staining.

  • Background
    Swiss-Prot Acc.P49840.GSK3 alpha (Glycogen synthase kinase 3 alpha), with 483-amino acid protein (about 53kDa), belongs to the Ser/Thr family of protein kinases, Cdc2/cdkx subfamily,GSK3 subsubfamily, which also includes GSK3 beta.GSK3 is a multifunctional serine/threonine kinase that is usually inactivated by serine phosphorylation in response to extracellular cues. GSK3 is a key regulator of numerous signalling pathways, including cellular responses to Wnt, receptor tyrosine kinases and G-protein-coupled receptors and is involved in a wide range of cellular processes, ranging from glycogen metabolism to cell cycle regulation and proliferation.GSK3 alpha is implicated in the control of several regulatory proteins including glycogen synthase and transcription factors.

Please note: All products are "FOR RESEARCH USE ONLY AND ARE NOT INTENDED FOR DIAGNOSTIC OR THERAPEUTIC USE"