Anti-GRK2 (6C1) Mouse antibody

Cat.#: 168433

Size:

Special Price 441.3 USD

Availability: In Stock
- +

Add to cart to get an online quotation

Product Information

  • Product Name
    Anti-GRK2 (6C1) Mouse antibody
  • Documents
  • Description
    GRK2 (6C1) Mouse monoclonal antibody
  • Tested applications
    WB, IHC-P, ICC/IF
  • Species reactivity
    Human, Mouse, Rat, Monkey
  • Isotype
    Mouse IgG1
  • Preparation
    Antigen: Purified recombinant fragment of human GRK2 expressed in E. Coli.
  • Clonality
    Monoclonal
  • Formulation
    Ascitic fluid containing 0.03% sodium azide.
  • Storage instructions
    Store at 4°C short term. Store at -20°C long term. Avoid freeze / thaw cycle.
  • Applications

    WB: 1/500 - 1/2000

    IHC: 1/200 - 1/1000

    ICC: 1/200 - 1/1000

    ELISA: 1/10000

  • Validations

    Western blot detection of GRK2 in C6,Jurkat,K562 and 3T3 cell lysates using GRK2 mouse mAb (1:1000 diluted).Predicted band size:80KDa.Observed band size:80KDa.

    Western blot detection of GRK2 in C6,Jurkat,K562 and 3T3 cell lysates using GRK2 mouse mAb (1:1000 diluted).Predicted band size:80KDa.Observed band size:80KDa.

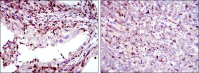
    Immunohistochemical analysis of paraffin-embedded endometrial cancer tissues (left) and cervical cancer tissues (right) using GRK2 mouse mAb with DAB staining.

    Immunohistochemical analysis of paraffin-embedded endometrial cancer tissues (left) and cervical cancer tissues (right) using GRK2 mouse mAb with DAB staining.

    Immunofluorescence analysis of NIH/3T3 cells using GRK2 mouse mAb (green). Blue: DRAQ5 fluorescent DNA dye.

    Immunofluorescence analysis of NIH/3T3 cells using GRK2 mouse mAb (green). Blue: DRAQ5 fluorescent DNA dye.

  • Background
    Swiss-Prot Acc.P25098.The product of this gene phosphorylates the beta-2-adrenergic receptor and appears to mediate agonist-specific desensitization observed at high agonist concentrations. This protein is an ubiquitous cytosolic enzyme that specifically phosphorylates the activated form of the beta-adrenergic and related G-protein-coupled receptors. Abnormal coupling of beta-adrenergic receptor to G protein is involved in the pathogenesis of the failing heart. (provided by RefSeq)Tissue specificity: Expressed in peripheral blood leukocytes

Please note: All products are "FOR RESEARCH USE ONLY AND ARE NOT INTENDED FOR DIAGNOSTIC OR THERAPEUTIC USE"