Anti-FGF20 antibody

Cat.#: 176412

Size:

Special Price 241.9 USD

Availability: In Stock
- +

Add to cart to get an online quotation

Product Information

  • Product Name
    Anti-FGF20 antibody
  • Documents
  • Description
    Rabbit polyclonal antibody to FGF20
  • Tested applications
    WB, IHC-P
  • Species reactivity
    Human, Mouse, Rat
  • Alternative names
    RHDA2 antibody; FGF-20 antibody
  • Isotype
    Rabbit IgG
  • Preparation
    This antigen of this antibody was the antiserum was produced against synthesized peptide derived from the internal region of human fgf20. aa range:151-200
  • Clonality
    Polyclonal
  • Formulation
    Liquid, Liquid in PBS containing 50% glycerol, 0.5% BSA and 0.02% sodium azide.
  • Storage instructions
    Store at +4℃ after thawing. Aliquot store at -20℃ or -80℃. Avoid repeated freeze / thaw cycles.
  • Applications

    WB: 1:500-1:2000

    IHC-P: 1:100-300

  • Validations

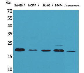
    Fig1:; Western Blot analysis of SW480, MCF-7, HL-60, BT474, mouse colon cells using FGF-20 Polyclonal Antibody.. Secondary antibody(catalog#: HA1001) was diluted at 1:20000

    Fig1:; Western Blot analysis of SW480, MCF-7, HL-60, BT474, mouse colon cells using FGF-20 Polyclonal Antibody.. Secondary antibody(catalog#: HA1001) was diluted at 1:20000

    Fig2:; Immunohistochemical analysis of paraffin-embedded rat-brain, antibody was diluted at 1:100

    Fig2:; Immunohistochemical analysis of paraffin-embedded rat-brain, antibody was diluted at 1:100

  • Background

Please note: All products are "FOR RESEARCH USE ONLY AND ARE NOT INTENDED FOR DIAGNOSTIC OR THERAPEUTIC USE"