Anti-COX5B Rabbit antibody

Cat.#: 167313

Size:

Special Price 441.3 USD

Availability: In Stock
- +

Add to cart to get an online quotation

Product Information

  • Product Name
    Anti-COX5B Rabbit antibody
  • Documents
  • Description
    COX5B Rabbit polyclonal antibody
  • Tested applications
    WB, IHC-P, ICC/IF, FC, IP
  • Species reactivity
    Human, Mouse, Rat
  • Alternative names
    COXVB antibody
  • Isotype
    Rabbit IgG
  • Preparation
    Antigen: A synthetic peptide of human COX5B
  • Clonality
    Polyclonal
  • Formulation
    Supplied in 50nM Tris-Glycine(pH 7.4), 0.15M Nacl, 40%Glycerol, 0.01% sodium azide and 0.05% BSA.
  • Storage instructions
    Store at -20°C. Stable for 12 months from date of receipt.
  • Applications

    WB: 1/2000-1/10000

    IHC: 1/200

    ICC/IF: 1/200

    FC: 1/20

    IP: 1/20

  • Validations

    Western blot detection of COX5B in K562,Rat Brain,C6,3T3,Hela cell lysates using COX5B Rabbit pAb(1:1000 diluted).Predicted band size:14kDa.Observed band size:14kDa.

    Western blot detection of COX5B in K562,Rat Brain,C6,3T3,Hela cell lysates using COX5B Rabbit pAb(1:1000 diluted).Predicted band size:14kDa.Observed band size:14kDa.

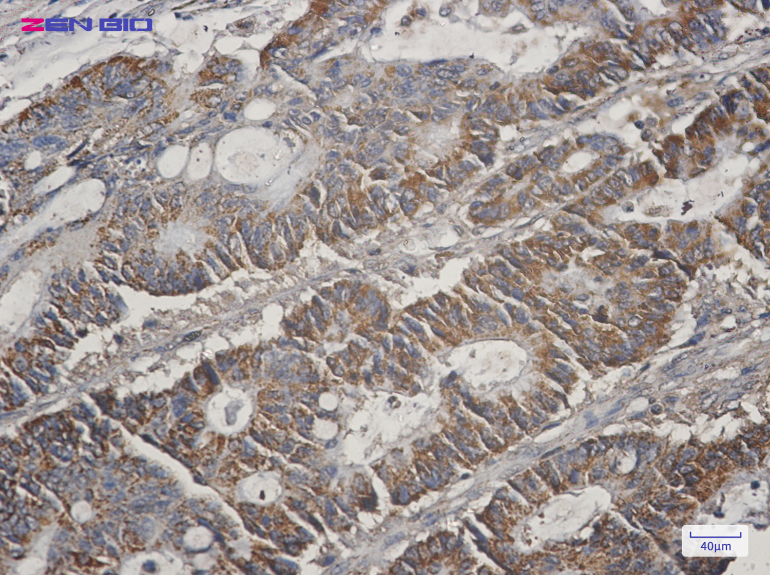
    Immunohistochemistry of COX5B in paraffin-embedded Human colon cancer tissue using COX5B Rabbit pAb at dilution 1/50

    Immunohistochemistry of COX5B in paraffin-embedded Human colon cancer tissue using COX5B Rabbit pAb at dilution 1/50

  • Background
    Swiss-Prot Acc.P10606.This protein is one of the nuclear-coded polypeptide chains of cytochrome c oxidase, the terminal oxidase in mitochondrial electron transport.SitesFeature keyPosition(s)Description

Please note: All products are "FOR RESEARCH USE ONLY AND ARE NOT INTENDED FOR DIAGNOSTIC OR THERAPEUTIC USE"