Anti-CMTM6 Rabbit antibody

Cat.#: 166797

Size:

Special Price 441.3 USD

Availability: In Stock
- +

Add to cart to get an online quotation

Product Information

  • Product Name
    Anti-CMTM6 Rabbit antibody
  • Documents
  • Description
    CMTM6 Rabbit polyclonal antibody
  • Tested applications
    ELISA, WB, IHC-P
  • Species reactivity
    Human, Mouse
  • Alternative names
    CKLF-like MARVEL transmembrane domain containing 6 antibody
  • Isotype
    Rabbit IgG
  • Preparation
    Antigen: Synthetic peptide of human CMTM6
  • Clonality
    Polyclonal
  • Formulation
    -20°C, pH7.4 PBS, 0.05% NaN3, 40% Glycerol
  • Storage instructions
    Store at 4°C short term. Store at -20°C long term. Avoid freeze / thaw cycle.
  • Applications

    WB: 1/500-1/2000

    IHC: 1/50-1/200

  • Validations

    Gel: 10%SDS-PAGE, Lysate: 40 μg, Lane 1-4: Human placenta tissue, Human testis tissue, Hela cells, Raji cells, Primary antibody: 166797(CMTM6 Antibody) at dilution 1/700, Secondary antibody: Goat anti rabbit IgG at 1/8000 dilution, Exposure time: 3 minutes

    Gel: 10%SDS-PAGE, Lysate: 40 μg, Lane 1-4: Human placenta tissue, Human testis tissue, Hela cells, Raji cells, Primary antibody: 166797(CMTM6 Antibody) at dilution 1/700, Secondary antibody: Goat anti rabbit IgG at 1/8000 dilution, Exposure time: 3 minutes

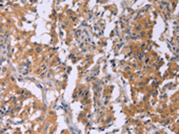
    The image is immunohistochemistry of paraffin-embedded Human thyroid cancer tissue using 166797(CMTM6 Antibody) at dilution 1/40, on the right is treated with synthetic peptide. (Original magnification: ×200)

    The image is immunohistochemistry of paraffin-embedded Human thyroid cancer tissue using 166797(CMTM6 Antibody) at dilution 1/40, on the right is treated with synthetic peptide. (Original magnification: ×200)

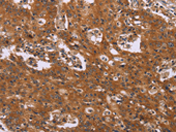
    The image is immunohistochemistry of paraffin-embedded Human gastric cancer tissue using 166797(CMTM6 Antibody) at dilution 1/40, on the right is treated with synthetic peptide. (Original magnification: ×200)

    The image is immunohistochemistry of paraffin-embedded Human gastric cancer tissue using 166797(CMTM6 Antibody) at dilution 1/40, on the right is treated with synthetic peptide. (Original magnification: ×200)

    Western blot analysis of extract from Raji cells using CMTM6 Rabbit pAb at 1:1000 dilution. Predicted band size: 20kDa. Observed band size: 20kDa.

    Western blot analysis of extract from Raji cells using CMTM6 Rabbit pAb at 1:1000 dilution. Predicted band size: 20kDa. Observed band size: 20kDa.

  • Background
    Swiss-Prot Acc.Q9NX76.

Please note: All products are "FOR RESEARCH USE ONLY AND ARE NOT INTENDED FOR DIAGNOSTIC OR THERAPEUTIC USE"