Anti-CBX1 Mouse antibody

Cat.#: 169118

Size:

Special Price 422.9 USD

Availability: In Stock
- +

Add to cart to get an online quotation

Product Information

  • Product Name
    Anti-CBX1 Mouse antibody
  • Documents
  • Description
    CBX1 Mouse monoclonal antibody
  • Tested applications
    WB, ICC/IF, IHC-P, FC
  • Species reactivity
    Human, Monkey
  • Isotype
    Mouse IgG1
  • Preparation
    Antigen: Purified recombinant fragment of human PAX3 (AA: 142-203) expressed in E. Coli.
  • Clonality
    Monoclonal
  • Formulation
    Purified antibody in PBS with 0.05% sodium azide
  • Storage instructions
    Store at 4°C short term. Store at -20°C long term. Avoid freeze / thaw cycle.
  • Validations

    Flow cytometric analysis of COS7 cells using CBX1 mouse mAb (green) and negative control (purple).

    Flow cytometric analysis of COS7 cells using CBX1 mouse mAb (green) and negative control (purple).

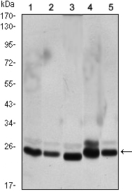
    Western blot analysis using CBX1 mouse mAb against Hela (1), COS7 (2), NIH/3T3 (3), A431 (4),and C6 (5) cell lysate.

    Western blot analysis using CBX1 mouse mAb against Hela (1), COS7 (2), NIH/3T3 (3), A431 (4),and C6 (5) cell lysate.

    Immunofluorescence analysis of Hela cells using CBX1 mouse mAb (green). Blue

    Immunofluorescence analysis of Hela cells using CBX1 mouse mAb (green). Blue

  • Background
    Swiss-Prot Acc.P83916.

Please note: All products are "FOR RESEARCH USE ONLY AND ARE NOT INTENDED FOR DIAGNOSTIC OR THERAPEUTIC USE"