Anti-c-Kit (7F12) Mouse antibody

Cat.#: 168496

Size:

Special Price 441.3 USD

Availability: In Stock
- +

Add to cart to get an online quotation

Product Information

  • Product Name
    Anti-c-Kit (7F12) Mouse antibody
  • Documents
  • Description
    c-Kit (7F12) Mouse monoclonal antibody
  • Tested applications
    WB, IHC-P
  • Species reactivity
    Human
  • Isotype
    Mouse IgG1
  • Preparation
    Antigen: Purified recombinant fragment of human KIT expressed in E. Coli.
  • Clonality
    Monoclonal
  • Formulation
    Ascitic fluid containing 0.03% sodium azide.
  • Storage instructions
    Store at 4°C short term. Store at -20°C long term. Avoid freeze / thaw cycle.
  • Applications

    WB: 1/500 - 1/2000

    IHC: 1/200 - 1/1000

    ELISA: 1/10000

  • Validations

    Western blot analysis of extracts from Jurkat, A549 and MCF7 cell lysates using c-Kit mouse mAb (1:1000 diluted).Predicted band size:145KDa.Observed band size:120~145KDa.

    Western blot analysis of extracts from Jurkat, A549 and MCF7 cell lysates using c-Kit mouse mAb (1:1000 diluted).Predicted band size:145KDa.Observed band size:120~145KDa.

    Western blot analysis using KIT mouse mAb against Jurkat (1) and Hela (2) cell lysate.

    Western blot analysis using KIT mouse mAb against Jurkat (1) and Hela (2) cell lysate.

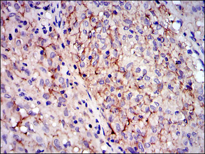
    Immunohistochemical analysis of paraffin-embedded gastrointestinal stromal tumor using KIT mouse mAb with DAB staining.

    Immunohistochemical analysis of paraffin-embedded gastrointestinal stromal tumor using KIT mouse mAb with DAB staining.

  • Background
    Swiss-Prot Acc.P10721.The c-Kit proto-oncogene is a member of the receptor tyrosine kinase family and, more specifically, is closely related to the platelet derived growth factor receptor (PDGFR). c-Kit, the normal cellular homolog of the HZ4-feline sarcoma virus transforming gene (v-Kit), encodes a transmembrane receptor. c-Kit regulates a variety of biological responses including chemotaxis, cell prolif- eration, apoptosis and adhesion. c-Kit is also identical with the product of the W locus in mice and, as such, is integral to the development of mast cells and hematopoiesis. The ligand for the c-Kit receptor (KL) has been identified and is encoded at the murine steel (SI) locus. Kit is the human homolog of the proto- oncogene c-Kit. Mutations in Kit are integral for tumor growth and progression in various cancers.

Please note: All products are "FOR RESEARCH USE ONLY AND ARE NOT INTENDED FOR DIAGNOSTIC OR THERAPEUTIC USE"