Anti-BLK (6H3) Mouse antibody

Cat.#: 168356

Size:

Special Price 441.3 USD

Availability: In Stock
- +

Add to cart to get an online quotation

Product Information

  • Product Name
    Anti-BLK (6H3) Mouse antibody
  • Documents
  • Description
    BLK (6H3) Mouse monoclonal antibody
  • Tested applications
    WB
  • Species reactivity
    Human
  • Alternative names
    MODY11 antibody
  • Isotype
    Mouse IgG2a
  • Preparation
    Antigen: Purified recombinant fragment of BLK expressed in E. Coli.
  • Clonality
    Monoclonal
  • Formulation
    Ascitic fluid containing 0.03% sodium azide.
  • Storage instructions
    Store at 4°C short term. Store at -20°C long term. Avoid freeze / thaw cycle.
  • Validations

    Western blot detection of BLK in A549 and Hela cell lysates using BLK mouse mAb (1:5000 diluted).Predicted band size:55KDa.Observed band size:55KDa.

    Western blot detection of BLK in A549 and Hela cell lysates using BLK mouse mAb (1:5000 diluted).Predicted band size:55KDa.Observed band size:55KDa.

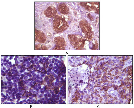
    Immunohistochemical analysis of paraffin-embedded human breast tissue (A), lymph tissue (B) and skin carcinoma (C), showing membrane localization using BLK mouse mAb with DAB staining.

    Immunohistochemical analysis of paraffin-embedded human breast tissue (A), lymph tissue (B) and skin carcinoma (C), showing membrane localization using BLK mouse mAb with DAB staining.

  • Background
    Swiss-Prot Acc.P51451.

Please note: All products are "FOR RESEARCH USE ONLY AND ARE NOT INTENDED FOR DIAGNOSTIC OR THERAPEUTIC USE"