Anti-BCRP/ABCG2 (2F7) Mouse antibody

Cat.#: 168519

Size:

Special Price 441.3 USD

Availability: In Stock
- +

Add to cart to get an online quotation

Product Information

  • Product Name
    Anti-BCRP/ABCG2 (2F7) Mouse antibody
  • Documents
  • Description
    BCRP/ABCG2 (2F7) Mouse monoclonal antibody
  • Tested applications
    WB, IHC-P, ICC/IF, FC
  • Species reactivity
    Human, Mouse, Monkey
  • Isotype
    Mouse IgG1
  • Preparation
    Antigen: Purified recombinant fragment of human ABCG2 expressed in E. Coli.
  • Clonality
    Monoclonal
  • Formulation
    Ascitic fluid containing 0.03% sodium azide.
  • Storage instructions
    Store at 4°C short term. Store at -20°C long term. Avoid freeze / thaw cycle.
  • Applications

    WB: 1/500 - 1/2000

    IHC: 1/200 - 1/1000

    ICC: 1/200 - 1/1000

    FC: 1/200 - 1/400

    ELISA: 1/10000

  • Validations

    Western blot analysis using ABCG2 mouse mAb against NIH/3T3 (1) and Cos7 (2) cell lysate.

    Western blot analysis using ABCG2 mouse mAb against NIH/3T3 (1) and Cos7 (2) cell lysate.

    Immunofluorescence analysis of Hela cells using ABCG2 mouse mAb (green). Blue

    Immunofluorescence analysis of Hela cells using ABCG2 mouse mAb (green). Blue

    Flow cytometric analysis of HepG2 cells using ABCG2 mouse mAb (green) and negative control (purple).

    Flow cytometric analysis of HepG2 cells using ABCG2 mouse mAb (green) and negative control (purple).

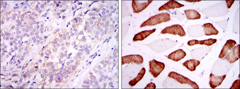
    Immunohistochemical analysis of paraffin-embedded bladder cancer tissues (left) and skeletal muscle tissues (right) using ABCG2 mouse mAb with DAB staining.

    Immunohistochemical analysis of paraffin-embedded bladder cancer tissues (left) and skeletal muscle tissues (right) using ABCG2 mouse mAb with DAB staining.

  • Background
    Swiss-Prot Acc.Q9UNQ0.The membrane-associated protein encoded by this gene is included in the superfamily of ATP-binding cassette (ABC) transporters. ABC proteins transport various molecules across extra- and intra-cellular membranes. ABC genes are divided into seven distinct subfamilies (ABC1, MDR/TAP, MRP, ALD, OABP, GCN20, White). This protein is a member of the White subfamily. Alternatively referred to as a breast cancer resistance protein, this protein functions as a xenobiotic transporter which may play a major role in multi-drug resistance. It likely serves as a cellular defense mechanism in response to mitoxantrone and anthracycline exposure. Significant expression of this protein has been observed in the placenta, which may suggest a potential role for this molecule in placenta tissue.Tissue specificity: Highly expressed in placenta. Low expression in small intestine, liver and colon.

Please note: All products are "FOR RESEARCH USE ONLY AND ARE NOT INTENDED FOR DIAGNOSTIC OR THERAPEUTIC USE"