Anti-Bax Rabbit antibody

Cat.#: 167004

Size:

Special Price 441.3 USD

Availability: In Stock
- +

Add to cart to get an online quotation

Product Information

  • Product Name
    Anti-Bax Rabbit antibody
  • Documents
  • Description
    Bax Rabbit polyclonal antibody
  • Tested applications
    WB, IHC-P, IP, FC
  • Species reactivity
    Human, Mouse, Rat, Hamster
  • Isotype
    Rabbit IgG
  • Preparation
    Antigen: A synthesized peptide derived from human Bax
  • Clonality
    Polyclonal
  • Formulation
    Rabbit IgG in phosphate buffered saline , pH 7.4, 150mM NaCl, 0.02% sodium azide and 50% glycerol.
  • Storage instructions
    Store at 4°C short term. Store at -20°C long term. Avoid freeze / thaw cycle.
  • Applications

    WB: 1/1000-1/2000

    IHC: 1/50-1/200

    IP: 1/50

    FC: 1/50

  • Validations

    Western blot analysis of Bax in (1) HeLa cell lysate;(2) RAW264.7 Whole Cell Lysate.

    Western blot analysis of Bax in (1) HeLa cell lysate;(2) RAW264.7 Whole Cell Lysate.

    Western blot analysis of extracts from THP-1 and Hela cells using Bax Rabbit pAb at 1:1000 dilution. Predicted band size: 21kDa. Observed band size: 21kDa.

    Western blot analysis of extracts from THP-1 and Hela cells using Bax Rabbit pAb at 1:1000 dilution. Predicted band size: 21kDa. Observed band size: 21kDa.

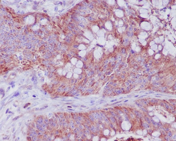
    Immunohistochemical analysis of paraffin-embedded human adenocarcinoma of colon, using Bax Antibody.

    Immunohistochemical analysis of paraffin-embedded human adenocarcinoma of colon, using Bax Antibody.

  • Background
    Swiss-Prot Acc.Q07812.Bax is a key component for cellular induced apoptosis through mitochondrial stress. Upon apoptotic stimulation, Bax forms oligomers and translocates from the cytosol to the mitochondrial membrane. Through interactions with pore proteins on the mitochondrial membrane, Bax increases the membrane's permeability, which leads to the release of cytochrome c from mitochondria, activation of caspase-9 and initiation of the caspase activation pathway for apoptosis.

Please note: All products are "FOR RESEARCH USE ONLY AND ARE NOT INTENDED FOR DIAGNOSTIC OR THERAPEUTIC USE"