Anti- antibody

Cat.#: 175165

Size:

Special Price 241.9 USD

Availability: In Stock
- +

Add to cart to get an online quotation

Product Information

  • Product Name
    Anti- antibody
  • Documents
  • Description
    Rabbit polyclonal antibody to
  • Tested applications
    IHC-P, FC
  • Species reactivity
    Arabidopsis thaliana
  • Isotype
    Rabbit IgG
  • Preparation
    This antigen of this antibody was synthetic peptide within thaliana beta-adaptin-like protein a aa 18-67 / 841.
  • Clonality
    Polyclonal
  • Formulation
    Liquid, 1*PBS (pH7.4), 0.2% BSA, 50% Glycerol. Preservative: 0.05% Sodium Azide.
  • Storage instructions
    Store at +4℃ after thawing. Aliquot store at -20℃. Avoid repeated freeze / thaw cycles.
  • Applications

    IHC-P:1:50-1:200

    FC:1:50-1:100

  • Validations

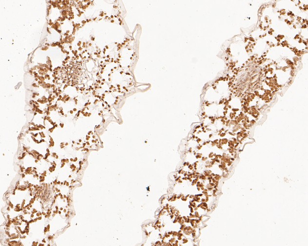
    Fig1:; Immunohistochemical analysis of paraffin-embedded A. thaliana tissue using anti-Beta-adaptin-like protein A antibody. The section was pre-treated using heat mediated antigen retrieval with Tris-EDTA buffer (pH 8.0-8.4) for 20 minutes.The tissues were blocked in 5% BSA for 30 minutes at room temperature, washed with ddH; 2; O and PBS, and then probed with the primary antibody ( 1/50) for 30 minutes at room temperature. The detection was performed using an HRP conjugated compact polymer system. DAB was used as the chromogen. Tissues were counterstained with hematoxylin and mounted with DPX.

    Fig1:; Immunohistochemical analysis of paraffin-embedded A. thaliana tissue using anti-Beta-adaptin-like protein A antibody. The section was pre-treated using heat mediated antigen retrieval with Tris-EDTA buffer (pH 8.0-8.4) for 20 minutes.The tissues were blocked in 5% BSA for 30 minutes at room temperature, washed with ddH; 2; O and PBS, and then probed with the primary antibody ( 1/50) for 30 minutes at room temperature. The detection was performed using an HRP conjugated compact polymer system. DAB was used as the chromogen. Tissues were counterstained with hematoxylin and mounted with DPX.

    Fig2:; Immunofluorescence staining of paraffin- embedded A. thaliana using anti-Beta-adaptin-like protein A antibody.The section was pre-treated using heat mediated antigen retrieval with Tris-EDTA buffer (pH 9.0) for 20 minutes.(sodium citrate buffer (pH6) for 20 mins.) The tissues were blocked in 10% negative goat serum for 1 hour at room temperature, washed with PBS, and then probed with 175165# at 1/50 dilution for 10 hours at 4℃ and detected using Alexa Fluor® 488 conjugate-Goat anti-Rabbit IgG (H+L) Secondary Antibody at a dilution of 1:500 for 1 hour at room temperature.

    Fig2:; Immunofluorescence staining of paraffin- embedded A. thaliana using anti-Beta-adaptin-like protein A antibody.The section was pre-treated using heat mediated antigen retrieval with Tris-EDTA buffer (pH 9.0) for 20 minutes.(sodium citrate buffer (pH6) for 20 mins.) The tissues were blocked in 10% negative goat serum for 1 hour at room temperature, washed with PBS, and then probed with 175165# at 1/50 dilution for 10 hours at 4℃ and detected using Alexa Fluor® 488 conjugate-Goat anti-Rabbit IgG (H+L) Secondary Antibody at a dilution of 1:500 for 1 hour at room temperature.

  • Background
  • References
    • Dortay H. et. al. Toward an interaction map of the two-component signaling pathway of Arabidopsis thaliana. J. Proteome Res. 7:3649-3660(2008)

Please note: All products are "FOR RESEARCH USE ONLY AND ARE NOT INTENDED FOR DIAGNOSTIC OR THERAPEUTIC USE"