Anti-AMPK alpha Rabbit antibody

Cat.#: 169068

Size:

Special Price 441.3 USD

Availability: In Stock
- +

Add to cart to get an online quotation

Product Information

  • Product Name
    Anti-AMPK alpha Rabbit antibody
  • Documents
  • Description
    AMPK alpha Rabbit polyclonal antibody
  • Tested applications
    WB, IHC-P, ELISA
  • Species reactivity
    Human, Mouse, Rat, Monkey
  • Isotype
    Rabbit IgG
  • Preparation
    Antigen: The antiserum was produced against synthesized peptide derived from human AMPK alpha. AA range:140-189
  • Clonality
    Polyclonal
  • Formulation
    Liquid in PBS containing 50% glycerol, 0.5% BSA and 0.02% sodium azide.
  • Storage instructions
    Store at 4°C short term. Store at -20°C long term. Avoid freeze / thaw cycle.
  • Applications

    WB: 1/500 - 1/2000

    IHC: 1/100 - 1/300

    ELISA: 1/40000

  • Validations

    Immunohistochemical analysis of paraffin-embedded Mouse-testis tissue. 1,AMPKα1/2 Polyclonal Antibody was diluted at 1:200(4°C,overnight). 2, Sodium citrate pH 6.0 was used for antibody retrieval(>98°C,20min). 3,Secondary antibody was diluted at 1:200(room tempeRature, 30min). Negative control was used by secondary antibody only.

    Immunohistochemical analysis of paraffin-embedded Mouse-testis tissue. 1,AMPKα1/2 Polyclonal Antibody was diluted at 1:200(4°C,overnight). 2, Sodium citrate pH 6.0 was used for antibody retrieval(>98°C,20min). 3,Secondary antibody was diluted at 1:200(room tempeRature, 30min). Negative control was used by secondary antibody only.

    Western blot analysis of extracts from 3T3 cell lysates using AMPKα1/2 Rabbit pAb at 1:1000 dilution. Predicted band size: 62KDa. Observed band size: 62KDa.

    Western blot analysis of extracts from 3T3 cell lysates using AMPKα1/2 Rabbit pAb at 1:1000 dilution. Predicted band size: 62KDa. Observed band size: 62KDa.

    Immunohistochemical analysis of paraffin-embedded Mouse-colon tissue. 1,AMPKα1/2 Polyclonal Antibody was diluted at 1:200(4°C,overnight). 2, Sodium citrate pH 6.0 was used for antibody retrieval(>98°C,20min). 3,Secondary antibody was diluted at 1:200(room tempeRature, 30min). Negative control was used by secondary antibody only.

    Immunohistochemical analysis of paraffin-embedded Mouse-colon tissue. 1,AMPKα1/2 Polyclonal Antibody was diluted at 1:200(4°C,overnight). 2, Sodium citrate pH 6.0 was used for antibody retrieval(>98°C,20min). 3,Secondary antibody was diluted at 1:200(room tempeRature, 30min). Negative control was used by secondary antibody only.

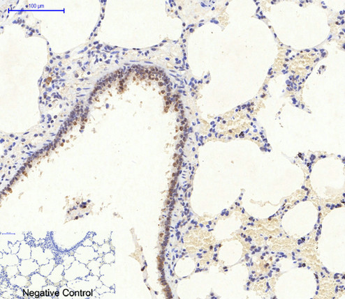
    Immunohistochemical analysis of paraffin-embedded Rat-lung tissue. 1,AMPKα1/2 Polyclonal Antibody was diluted at 1:200(4°C,overnight). 2, Sodium citrate pH 6.0 was used for antibody retrieval(>98°C,20min). 3,Secondary antibody was diluted at 1:200(room tempeRature, 30min). Negative control was used by secondary antibody only.

    Immunohistochemical analysis of paraffin-embedded Rat-lung tissue. 1,AMPKα1/2 Polyclonal Antibody was diluted at 1:200(4°C,overnight). 2, Sodium citrate pH 6.0 was used for antibody retrieval(>98°C,20min). 3,Secondary antibody was diluted at 1:200(room tempeRature, 30min). Negative control was used by secondary antibody only.

    Western Blot analysis of various cells using AMPKα1/2 Polyclonal Antibody diluted at 1:500

    Western Blot analysis of various cells using AMPKα1/2 Polyclonal Antibody diluted at 1:500

    Western Blot analysis of COS7 cells using AMPKα1/2 Polyclonal Antibody diluted at 1:500

    Western Blot analysis of COS7 cells using AMPKα1/2 Polyclonal Antibody diluted at 1:500

  • Background
    Swiss-Prot Acc.Q13131.

Please note: All products are "FOR RESEARCH USE ONLY AND ARE NOT INTENDED FOR DIAGNOSTIC OR THERAPEUTIC USE"