ANGPTL3 Polyclonal Antibody

Cat.#: 160132

Special Price 226.5 USD

Availability: In Stock
- +

Add to cart to get an online quotation

Product Information

  • Product Name
    ANGPTL3 Polyclonal Antibody
  • Documents
  • Description
    Polyclonal antibody to ANGPTL3
  • Tested applications
    WB, IHC
  • Species reactivity
    Human, Mouse, Rat
  • Alternative names
    ANGPTL3 antibody; ANG-5 antibody; ANGPT5 antibody; ANL3 antibody; FHBL2 antibody; angiopoietin like 3 antibody
  • Isotype
    Rabbit IgG
  • Preparation
    Antigen: Recombinant fusion protein containing a sequence corresponding to amino acids 231-460 of human ANGPTL3 (NP_055310.1).
  • Clonality
    Polyclonal
  • Formulation
    PBS with 0.02% sodium azide, 50% glycerol, pH7.3.
  • Storage instructions
    Store at -20℃. Avoid freeze / thaw cycles.
  • Applications
    WB 1:500 - 1:2000
    IHC 1:100 - 1:200
  • Validations

    Western blot - ANGPTL3 Polyclonal Antibody

    Western blot - ANGPTL3 Polyclonal Antibody

    Western blot analysis of extracts of various cell lines, using ANGPTL3 antibody at 1:1000 dilution.Secondary antibody: HRP Goat Anti-Rabbit IgG (H+L) at 1:10000 dilution.Lysates/proteins: 25ug per lane.Blocking buffer: 3% nonfat dry milk in TBST.

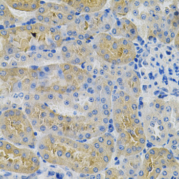
    Immunohistochemistry - ANGPTL3 Polyclonal Antibody

    Immunohistochemistry - ANGPTL3 Polyclonal Antibody

    Immunohistochemistry of paraffin-embedded mouse kidney using ANGPTL3 Antibody at dilution of 1:100 (40x lens).

  • Background
    Acts in part as a hepatokine that is involved in regulation of lipid and glucose metabolism. Proposed to play a role in the trafficking of energy substrates to either storage or oxidative tissues in response to food intake (By similarity). Has a stimulatory effect on plasma triglycerides (TG), which is achieved by suppressing plasma TG clearance via inhibition of LPL activity. The inhibition of LPL activity appears to be an indirect mechanism involving recruitment of proprotein convertases PCSK6 and FURIN to LPL leading to cleavage and dissociation of LPL from the cell surface; the function does not require ANGPTL3 proteolytic cleavage but seems to be mediated by the N-terminal domain, and is not inhibited by GPIHBP1. Can inhibit endothelial lipase, causing increased plasma levels of high density lipoprotein (HDL) cholesterol and phospholipids. Can bind to adipocytes to activate lipolysis, releasing free fatty acids and glycerol. Suppresses LPL specifically in oxidative tissues which is required to route very low density lipoprotein (VLDL)-TG to white adipose tissue (WAT) for storage in response to food; the function may involve cooperation with circulating, liver-derived ANGPTL8 and ANGPTL4 expression in WAT (By similarity). Contributes to lower plasma levels of low density lipoprotein (LDL)-cholesterol by a mechanism that is independent of the canonical pathway implicating APOE and LDLR. May stimulate hypothalamic LPL activity (By similarity).; ANGPTL3(17-221): In vitro inhibits LPL activity; not effective on GPIHBP1-stabilized LPL.; Involved in angiogenesis. Binds to endothelial cells via integrin alpha-V/beta-3 (ITGAV:ITGB3), activates FAK, MAPK and Akt signaling pathways and induces cell adhesion and cell migration. Secreted from podocytes, may modulate properties of glomerular endothelial cells involving integrin alpha-V/beta-3 and Akt signaling. May increase the motility of podocytes. May induce actin filament rearrangements in podocytes implicating integrin alpha-V/beta-3 and Rac1 activation. Binds to hematopoietic stem cells (HSC) and is involved in the regulation of HSC activity probably implicating down-regulation of IKZF1/IKAROS (By similarity).

Please note: All products are "FOR RESEARCH USE ONLY AND ARE NOT INTENDED FOR DIAGNOSTIC OR THERAPEUTIC USE"