ANAPC5 Polyclonal Antibody

Cat.#: 165193

Special Price 226.5 USD

Availability: In Stock
- +

Add to cart to get an online quotation

Product Information

  • Product Name
    ANAPC5 Polyclonal Antibody
  • Documents
  • Description
    Polyclonal antibody to ANAPC5
  • Tested applications
    WB, IHC, IP
  • Species reactivity
    Human, Mouse, Rat
  • Alternative names
    ANAPC5 antibody; APC5 antibody; anaphase-promoting complex subunit 5 antibody
  • Isotype
    Rabbit IgG
  • Preparation
    Antigen: Recombinant fusion protein containing a sequence corresponding to amino acids 1-250 of human ANAPC5 (NP_057321.2).
  • Clonality
    Polyclonal
  • Formulation
    PBS with 0.02% sodium azide, 50% glycerol, pH7.3.
  • Storage instructions
    Store at -20℃. Avoid freeze / thaw cycles.
  • Applications
    WB 1:500 - 1:2000
    IHC 1:50 - 1:200
    IP 1:50 - 1:100
  • Validations

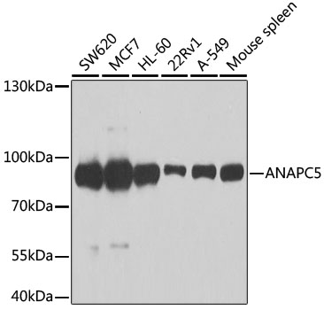
    Western blot - ANAPC5 Polyclonal Antibody

    Western blot - ANAPC5 Polyclonal Antibody

    Western blot analysis of extracts of various cell lines, using ANAPC5 antibody at 1:1000 dilution.Secondary antibody: HRP Goat Anti-Rabbit IgG (H+L) at 1:10000 dilution.Lysates/proteins: 25ug per lane.Blocking buffer: 3% nonfat dry milk in TBST.Detection: ECL Basic Kit .Exposure time: 90s.

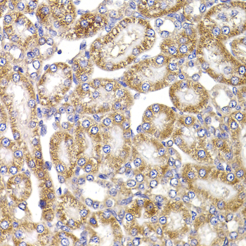
    Immunohistochemistry - ANAPC5 Polyclonal Antibody

    Immunohistochemistry - ANAPC5 Polyclonal Antibody

    Immunohistochemistry of paraffin-embedded rat kidney using ANAPC5 antibody at dilution of 1:100 (40x lens).

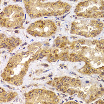
    Immunohistochemistry - ANAPC5 Polyclonal Antibody

    Immunohistochemistry - ANAPC5 Polyclonal Antibody

    Immunohistochemistry of paraffin-embedded human kidney using ANAPC5 antibody at dilution of 1:100 (40x lens).

    Immunoprecipitation - ANAPC5 Polyclonal Antibody

    Immunoprecipitation - ANAPC5 Polyclonal Antibody

    Immunoprecipitation analysis of 200ug extracts of MCF-7 cells, using 3 ug ANAPC5 antibody . Western blot was performed from the immunoprecipitate using ANAPC5 antibody at a dilition of 1:1000.

  • Background
    Component of the anaphase promoting complex/cyclosome (APC/C), a cell cycle-regulated E3 ubiquitin ligase that controls progression through mitosis and the G1 phase of the cell cycle. The APC/C complex acts by mediating ubiquitination and subsequent degradation of target proteins: it mainly mediates the formation of 'Lys-11'-linked polyubiquitin chains and, to a lower extent, the formation of 'Lys-48'- and 'Lys-63'-linked polyubiquitin chains.

Please note: All products are "FOR RESEARCH USE ONLY AND ARE NOT INTENDED FOR DIAGNOSTIC OR THERAPEUTIC USE"