Alpha galactosidase A antibody

Cat.#: 107117

Size:

Special Price 239.0 USD

Availability: In Stock
- +

Add to cart to get an online quotation

Product Information

  • Product Name
    Alpha galactosidase A antibody
  • Documents
  • Description
    Alpha galactosidase A Mouse Monoclonal antibody. Positive WB detected in HeLa cells, HEK-293 cells, HepG2 cells, human kidney tissue. Positive IF detected in HepG2 cells. Positive IHC detected in human kidney tissue, human liver tissue. Observed molecular weight by Western-blot: 49 kDa
  • Tested applications
    ELISA, WB, IHC, IF
  • Species reactivity
    Human; other species not tested.
  • Alternative names
    Alpha galactosidase A antibody; galactosidase antibody; alpha antibody
  • Isotype
    Mouse IgG2a
  • Preparation
    This antibody was obtained by immunization of Alpha galactosidase A recombinant protein (Accession Number: NM_000169). Purification method: Protein A purified.
  • Clonality
    Monoclonal
  • Formulation
    PBS with 0.02% sodium azide and 50% glycerol pH 7.3.
  • Storage instructions
    Store at -20℃. DO NOT ALIQUOT
  • Applications

    Recommended Dilution:

    WB: 1:500-1:5000

    IHC: 1:20-1:200

    IF: 1:20-1:200

  • Validations

    HeLa cells were subjected to SDS PAGE followed by western blot with Catalog No:107577(GLA antibody) at dilution of 1:1000

    HeLa cells were subjected to SDS PAGE followed by western blot with Catalog No:107577(GLA antibody) at dilution of 1:1000

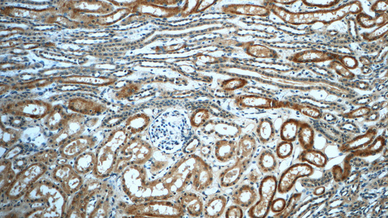
    Immunohistochemistry of paraffin-embedded human kidney tissue slide using Catalog No:107577(GLA Antibody) at dilution of 1:50 (under 10x lens)

    Immunohistochemistry of paraffin-embedded human kidney tissue slide using Catalog No:107577(GLA Antibody) at dilution of 1:50 (under 10x lens)

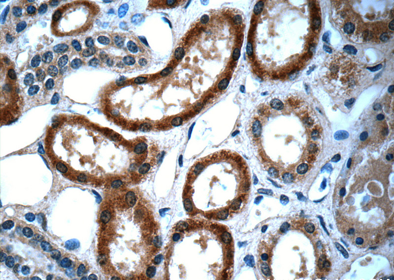
    Immunohistochemistry of paraffin-embedded human kidney tissue slide using Catalog No:107577(GLA Antibody) at dilution of 1:50 (under 40x lens)

    Immunohistochemistry of paraffin-embedded human kidney tissue slide using Catalog No:107577(GLA Antibody) at dilution of 1:50 (under 40x lens)

    Immunofluorescent analysis of HepG2 cells using Catalog No:107577(GLA Antibody) at dilution of 1:50 and Rhodamine-Goat anti-Mouse IgG

    Immunofluorescent analysis of HepG2 cells using Catalog No:107577(GLA Antibody) at dilution of 1:50 and Rhodamine-Goat anti-Mouse IgG

  • Background
    GLA, also named as Melibiase, Agalsidas and Alpha-galactosidase A, Belongs to the glycosyl hydrolase 27 family. It hydrolysis of terminal, non-reducing alpha-D-galactose residues in alpha-D-galactosides, including galactose oligosaccharides, galactomannans and galactolipids. Fabry disease is an X-linked lysosomal storage disorder resulting from the deficient activity of GLA. Enzyme replacement therapy (ERT) with GLA is currently the most effective therapeutic strategy for patients with Fabry disease, a lysosomal storage disease.

Please note: All products are "FOR RESEARCH USE ONLY AND ARE NOT INTENDED FOR DIAGNOSTIC OR THERAPEUTIC USE"