ALOX12 Polyclonal Antibody

Cat.#: 162224

Special Price 226.5 USD

Availability: In Stock
- +

Add to cart to get an online quotation

Product Information

  • Product Name
    ALOX12 Polyclonal Antibody
  • Documents
  • Description
    Polyclonal antibody to ALOX12
  • Tested applications
    IHC, IF
  • Species reactivity
    Human, Mouse, Rat
  • Alternative names
    ALOX12 antibody; 12-LOX antibody; 12S-LOX antibody; LOG12 antibody; arachidonate 12-lipoxygenase, 12S-type antibody
  • Isotype
    Rabbit IgG
  • Preparation
    Antigen: Recombinant fusion protein containing a sequence corresponding to amino acids 483-663 of human ALOX12 (NP_000688.2).
  • Clonality
    Polyclonal
  • Formulation
    PBS with 0.02% sodium azide, 50% glycerol, pH7.3.
  • Storage instructions
    Store at -20℃. Avoid freeze / thaw cycles.
  • Applications
    IHC 1:50 - 1:200
    IF 1:50 - 1:200
  • Validations

    Immunohistochemistry - ALOX12 Polyclonal Antibody

    Immunohistochemistry - ALOX12 Polyclonal Antibody

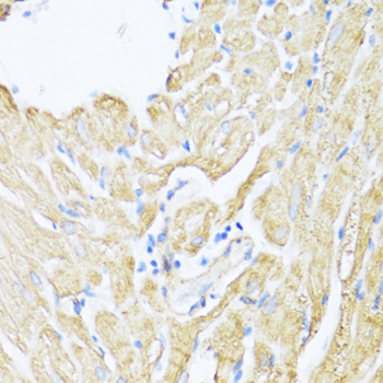
    Immunohistochemistry of paraffin-embedded rat heart using ALOX12 antibody at dilution of 1:100 (40x lens).

    Immunohistochemistry - ALOX12 Polyclonal Antibody

    Immunohistochemistry - ALOX12 Polyclonal Antibody

    Immunohistochemistry of paraffin-embedded human colon carcinoma using ALOX12 antibody at dilution of 1:100 (40x lens).

    Immunohistochemistry - ALOX12 Polyclonal Antibody

    Immunohistochemistry - ALOX12 Polyclonal Antibody

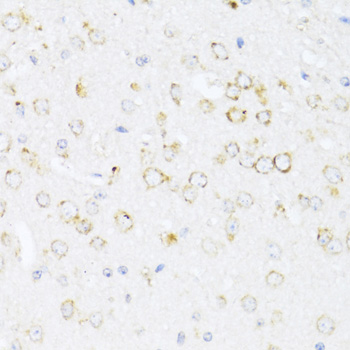
    Immunohistochemistry of paraffin-embedded mouse brain using ALOX12 antibody at dilution of 1:100 (40x lens).

  • Background
    Non-heme iron-containing dioxygenase that catalyzes the stereo-specific peroxidation of free and esterified polyunsaturated fatty acids generating a spectrum of bioactive lipid mediators. Mainly converts arachidonic acid to (12S)-hydroperoxyeicosatetraenoic acid/(12S)-HPETE but can also metabolize linoleic acid. Has a dual activity since it also converts leukotriene A4/LTA4 into both the bioactive lipoxin A4/LXA4 and lipoxin B4/LXB4. Through the production of specific bioactive lipids like (12S)-HPETE it regulates different biological processes including platelet activation. It also probably positively regulates angiogenesis through regulation of the expression of the vascular endothelial growth factor. Plays a role in apoptotic process, promoting the survival of vascular smooth muscle cells for instance. May also play a role in the control of cell migration and proliferation.

Please note: All products are "FOR RESEARCH USE ONLY AND ARE NOT INTENDED FOR DIAGNOSTIC OR THERAPEUTIC USE"