ALKBH8 Polyclonal Antibody

Cat.#: 165213

Special Price 226.5 USD

Availability: In Stock
- +

Add to cart to get an online quotation

Product Information

  • Product Name
    ALKBH8 Polyclonal Antibody
  • Documents
  • Description
    Polyclonal antibody to ALKBH8
  • Tested applications
    WB, IHC, IF
  • Species reactivity
    Human, Mouse
  • Alternative names
    ALKBH8 antibody; ABH8 antibody; TRM9 antibody; TRMT9 antibody; alkB homolog 8, tRNA methyltransferase antibody
  • Isotype
    Rabbit IgG
  • Preparation
    Antigen: Recombinant fusion protein containing a sequence corresponding to amino acids 1-230 of human ALKBH8 (NP_620130.2).
  • Clonality
    Polyclonal
  • Formulation
    PBS with 0.02% sodium azide, 50% glycerol, pH7.3.
  • Storage instructions
    Store at -20℃. Avoid freeze / thaw cycles.
  • Applications
    WB 1:500 - 1:2000
    IHC 1:100 - 1:200
    IF 1:50 - 1:100
  • Validations

    Western blot - ALKBH8 Polyclonal Antibody

    Western blot - ALKBH8 Polyclonal Antibody

    Western blot analysis of extracts of various cell lines, using ALKBH8 antibody at 1:1000 dilution.Secondary antibody: HRP Goat Anti-Rabbit IgG (H+L) at 1:10000 dilution.Lysates/proteins: 25ug per lane.Blocking buffer: 3% nonfat dry milk in TBST.Detection: ECL Basic Kit .Exposure time: 90s.

    Immunohistochemistry - ALKBH8 Polyclonal Antibody

    Immunohistochemistry - ALKBH8 Polyclonal Antibody

    Immunohistochemistry of paraffin-embedded mouse lung using ALKBH8 antibody at dilution of 1:100 (40x lens).

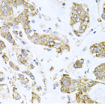
    Immunohistochemistry - ALKBH8 Polyclonal Antibody

    Immunohistochemistry - ALKBH8 Polyclonal Antibody

    Immunohistochemistry of paraffin-embedded human gastric cancer using ALKBH8 antibody at dilution of 1:100 (40x lens).

    Immunofluorescence - ALKBH8 Polyclonal Antibody

    Immunofluorescence - ALKBH8 Polyclonal Antibody

    Immunofluorescence analysis of A549 cells using ALKBH8 antibody . Blue: DAPI for nuclear staining.

  • Background
    Catalyzes the methylation of 5-carboxymethyl uridine to 5-methylcarboxymethyl uridine at the wobble position of the anticodon loop in tRNA via its methyltransferase domain. Catalyzes the last step in the formation of 5-methylcarboxymethyl uridine at the wobble position of the anticodon loop in target tRNA. Has a preference for tRNA(Arg) and tRNA(Glu), and does not bind tRNA(Lys). Binds tRNA and catalyzes the iron and alpha-ketoglutarate dependent hydroxylation of 5-methylcarboxymethyl uridine at the wobble position of the anticodon loop in tRNA via its dioxygenase domain, giving rise to 5-(S)-methoxycarbonylhydroxymethyluridine; has a preference for tRNA(Gly). Required for normal survival after DNA damage. May inhibit apoptosis and promote cell survival and angiogenesis.

Please note: All products are "FOR RESEARCH USE ONLY AND ARE NOT INTENDED FOR DIAGNOSTIC OR THERAPEUTIC USE"