ALG2 Polyclonal Antibody

Cat.#: 165564

Special Price 226.5 USD

Availability: In Stock
- +

Add to cart to get an online quotation

Product Information

  • Product Name
    ALG2 Polyclonal Antibody
  • Documents
  • Description
    Polyclonal antibody to ALG2
  • Tested applications
    WB, IHC
  • Species reactivity
    Human, Mouse
  • Alternative names
    ALG2 antibody; CDG1I antibody; CDGIi antibody; CMS14 antibody; CMSTA3 antibody; NET38 antibody; hALPG2 antibody; alpha-1,3/1,6-mannosyltransferase ALG2 antibody
  • Isotype
    Rabbit IgG
  • Preparation
    Antigen: Recombinant fusion protein containing a sequence corresponding to amino acids 197-416 of human ALG2 (NP_149078.1).
  • Clonality
    Polyclonal
  • Formulation
    PBS with 0.02% sodium azide, 50% glycerol, pH7.3.
  • Storage instructions
    Store at -20℃. Avoid freeze / thaw cycles.
  • Applications
    WB 1:500 - 1:2000
    IHC 1:50 - 1:200
  • Validations

    Western blot - ALG2 Polyclonal Antibody

    Western blot - ALG2 Polyclonal Antibody

    Western blot analysis of extracts of various cell lines, using ALG2 antibody at 1:1000 dilution._Secondary antibody: HRP Goat Anti-Rabbit IgG (H+L) at 1:10000 dilution._Lysates/proteins: 25ug per lane._Blocking buffer: 3% nonfat dry milk in TBST._Detection: ECL Basic Kit ._Exposure time: 90s.

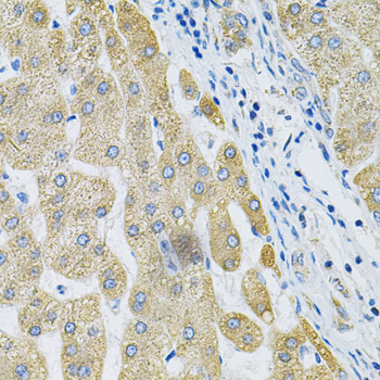
    Immunohistochemistry - ALG2 Polyclonal Antibody

    Immunohistochemistry - ALG2 Polyclonal Antibody

    Immunohistochemistry of paraffin-embedded human liver cancer using ALG2 Antibody at dilution of 1:100 (40x lens).

  • Background
    Mannosylates Man(2)GlcNAc(2)-dolichol diphosphate and Man(1)GlcNAc(2)-dolichol diphosphate to form Man(3)GlcNAc(2)-dolichol diphosphate.

Please note: All products are "FOR RESEARCH USE ONLY AND ARE NOT INTENDED FOR DIAGNOSTIC OR THERAPEUTIC USE"