ALDH9A1 Polyclonal Antibody

Cat.#: 165583

Special Price 226.5 USD

Availability: In Stock
- +

Add to cart to get an online quotation

Product Information

  • Product Name
    ALDH9A1 Polyclonal Antibody
  • Documents
  • Description
    Polyclonal antibody to ALDH9A1
  • Tested applications
    WB, IHC, IF
  • Species reactivity
    Human, Mouse, Rat
  • Alternative names
    ALDH9A1 antibody; ALDH4 antibody; ALDH7 antibody; ALDH9 antibody; E3 antibody; TMABADH antibody; aldehyde dehydrogenase 9 family member A1 antibody
  • Isotype
    Rabbit IgG
  • Preparation
    Antigen: A synthetic peptide of human ALDH9A1
  • Clonality
    Polyclonal
  • Formulation
    PBS with 0.02% sodium azide, 50% glycerol, pH7.3.
  • Storage instructions
    Store at -20℃. Avoid freeze / thaw cycles.
  • Applications
    WB 1:500 - 1:2000
    IHC 1:50 - 1:100
    IF 1:50 - 1:200
  • Validations

    Western blot - ALDH9A1 Polyclonal Antibody

    Western blot - ALDH9A1 Polyclonal Antibody

    Western blot analysis of extracts of various cell lines, using ALDH9A1 antibody at 1:500 dilution.Secondary antibody: HRP Goat Anti-Rabbit IgG (H+L) at 1:10000 dilution.Lysates/proteins: 25ug per lane.Blocking buffer: 3% nonfat dry milk in TBST.Detection: ECL Enhanced Kit .Exposure time: 90s.

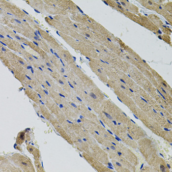
    Immunohistochemistry - ALDH9A1 Polyclonal Antibody

    Immunohistochemistry - ALDH9A1 Polyclonal Antibody

    Immunohistochemistry of paraffin-embedded rat heart using ALDH9A1 antibody (40x lens).

    Immunofluorescence - ALDH9A1 Polyclonal Antibody

    Immunofluorescence - ALDH9A1 Polyclonal Antibody

    Immunofluorescence analysis of HeLa cells using ALDH9A1 antibody at dilution of 1:100. Blue: DAPI for nuclear staining.

  • Background
    Converts gamma-trimethylaminobutyraldehyde into gamma-butyrobetaine. Catalyzes the irreversible oxidation of a broad range of aldehydes to the corresponding acids in an NAD-dependent reaction.

Please note: All products are "FOR RESEARCH USE ONLY AND ARE NOT INTENDED FOR DIAGNOSTIC OR THERAPEUTIC USE"