ALDH1L1 antibody

Cat.#: 107964

Size:

Special Price 239.0 USD

Availability: In Stock
- +

Add to cart to get an online quotation

Product Information

  • Product Name
    ALDH1L1 antibody
  • Documents
  • Description
    ALDH1L1 Rabbit Polyclonal antibody. Positive IP detected in mouse liver tissue. Positive WB detected in mouse liver tissue. Positive IHC detected in mouse brain tissue, rat brain tissue. Observed molecular weight by Western-blot: 100 kDa
  • Tested applications
    ELISA, WB, IHC, IP
  • Species reactivity
    Human,Mouse,Rat; other species not tested.
  • Alternative names
    10 FTHFDH antibody; ALDH1L1 antibody; DKFZp781N0997 antibody; FTHFD antibody
  • Isotype
    Rabbit IgG
  • Preparation
    This antibody was obtained by immunization of ALDH1L1 recombinant protein (Accession Number: NM_144776). Purification method: Antigen affinity purified.
  • Clonality
    Polyclonal
  • Formulation
    PBS with 0.1% sodium azide and 50% glycerol pH 7.3.
  • Storage instructions
    Store at -20℃. DO NOT ALIQUOT
  • Applications

    Recommended Dilution:

    WB: 1:200-1:1000

    IP: 1:200-1:2000

    IHC: 1:20-1:200

  • Validations

    mouse liver tissue were subjected to SDS PAGE followed by western blot with Catalog No:107964(ALDH1L1 Antibody) at dilution of 1:300

    mouse liver tissue were subjected to SDS PAGE followed by western blot with Catalog No:107964(ALDH1L1 Antibody) at dilution of 1:300

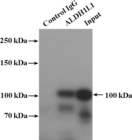
    IP Result of anti-ALDH1L1 (IP:Catalog No:107964, 4ug; Detection:Catalog No:107964 1:500) with mouse liver tissue lysate 4000ug.

    IP Result of anti-ALDH1L1 (IP:Catalog No:107964, 4ug; Detection:Catalog No:107964 1:500) with mouse liver tissue lysate 4000ug.

    Immunohistochemistry of paraffin-embedded mouse brain tissue slide using Catalog No:107964(ALDH1L1 Antibody) at dilution of 1:50 (under 40x lens)

    Immunohistochemistry of paraffin-embedded mouse brain tissue slide using Catalog No:107964(ALDH1L1 Antibody) at dilution of 1:50 (under 40x lens)

  • Background
    ALDH1L1 represents aldehyde dehydrogenase 1 family, member L1

Please note: All products are "FOR RESEARCH USE ONLY AND ARE NOT INTENDED FOR DIAGNOSTIC OR THERAPEUTIC USE"