AKAP5 Polyclonal Antibody

Cat.#: 164914

Special Price 226.5 USD

Availability: In Stock
- +

Add to cart to get an online quotation

Product Information

  • Product Name
    AKAP5 Polyclonal Antibody
  • Documents
  • Description
    Polyclonal antibody to AKAP5
  • Tested applications
    WB, IHC
  • Species reactivity
    Human, Mouse, Rat
  • Alternative names
    AKAP5 antibody; AKAP75 antibody; AKAP79 antibody; H21 antibody; A-kinase anchor protein 5 antibody
  • Isotype
    Rabbit IgG
  • Preparation
    Antigen: Recombinant fusion protein containing a sequence corresponding to amino acids 1-270 of human AKAP5 (NP_004848.3).
  • Clonality
    Polyclonal
  • Formulation
    PBS with 0.02% sodium azide, 50% glycerol, pH7.3.
  • Storage instructions
    Store at -20℃. Avoid freeze / thaw cycles.
  • Applications
    WB 1:500 - 1:2000
    IHC 1:100 - 1:200
  • Validations

    Western blot - AKAP5 Polyclonal Antibody

    Western blot - AKAP5 Polyclonal Antibody

    Western blot analysis of extracts of various cell lines, using AKAP5 Antibody at 1:1000 dilution.Secondary antibody: HRP Goat Anti-Rabbit IgG (H+L) at 1:10000 dilution.Lysates/proteins: 25ug per lane.Blocking buffer: 3% nonfat dry milk in TBST.Detection: ECL Basic Kit .Exposure time: 90s.

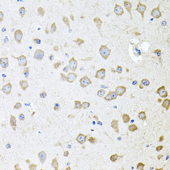
    Immunohistochemistry - AKAP5 Polyclonal Antibody

    Immunohistochemistry - AKAP5 Polyclonal Antibody

    Immunohistochemistry of paraffin-embedded mouse brain using AKAP5 antibody at dilution of 1:100 (40x lens).

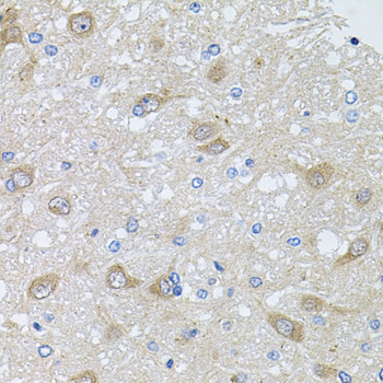
    Immunohistochemistry - AKAP5 Polyclonal Antibody

    Immunohistochemistry - AKAP5 Polyclonal Antibody

    Immunohistochemistry of paraffin-embedded rat brain using AKAP5 antibody at dilution of 1:100 (40x lens).

  • Background
    May anchor the PKA protein to cytoskeletal and/or organelle-associated proteins, targeting the signal carried by cAMP to specific intracellular effectors. Association with to the beta2-adrenergic receptor (beta2-AR) not only regulates beta2-AR signaling pathway, but also the activation by PKA by switching off the beta2-AR signaling cascade.

Please note: All products are "FOR RESEARCH USE ONLY AND ARE NOT INTENDED FOR DIAGNOSTIC OR THERAPEUTIC USE"