ADAM17 Polyclonal Antibody

Cat.#: 160159

Special Price 226.5 USD

Availability: In Stock
- +

Add to cart to get an online quotation

Product Information

  • Product Name
    ADAM17 Polyclonal Antibody
  • Documents
  • Description
    Polyclonal antibody to ADAM17
  • Tested applications
    WB, IHC, IF
  • Species reactivity
    Human, Mouse, Rat
  • Alternative names
    ADAM17 antibody; ADAM18 antibody; CD156B antibody; CSVP antibody; NISBD antibody; NISBD1 antibody; TACE antibody; ADAM metallopeptidase domain 17 antibody
  • Isotype
    Rabbit IgG
  • Preparation
    Antigen: A synthetic peptide corresponding to a sequence within amino acids 700 to the C-terminus of human ADAM17 (NP_003174.3).
  • Clonality
    Polyclonal
  • Formulation
    PBS with 0.02% sodium azide, 50% glycerol, pH7.3.
  • Storage instructions
    Store at -20℃. Avoid freeze / thaw cycles.
  • Applications
    WB 1:500 - 1:2000
    IHC 1:100 - 1:200
    IF 1:50 - 1:200
  • Validations

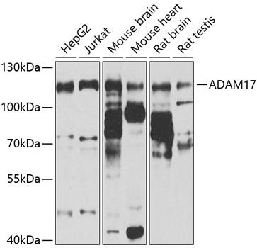
    Western blot - ADAM17 Polyclonal Antibody

    Western blot - ADAM17 Polyclonal Antibody

    Western blot analysis of extracts of various cell lines, using ADAM17 antibody at 1:1000 dilution.Secondary antibody: HRP Goat Anti-Rabbit IgG (H+L) at 1:10000 dilution.Lysates/proteins: 25ug per lane.Blocking buffer: 3% nonfat dry milk in TBST.Detection: ECL Enhanced Kit .Exposure time: 5s.

    Immunohistochemistry - ADAM17 Polyclonal Antibody

    Immunohistochemistry - ADAM17 Polyclonal Antibody

    Immunohistochemistry of paraffin-embedded rat heart using ADAM17 antibody at dilution of 1:100 (40x lens).

  • Background
    Cleaves the membrane-bound precursor of TNF-alpha to its mature soluble form. Responsible for the proteolytical release of soluble JAM3 from endothelial cells surface. Responsible for the proteolytic release of several other cell-surface proteins, including p75 TNF-receptor, interleukin 1 receptor type II, p55 TNF-receptor, transforming growth factor-alpha, L-selectin, growth hormone receptor, MUC1 and the amyloid precursor protein. Acts as an activator of Notch pathway by mediating cleavage of Notch, generating the membrane-associated intermediate fragment called Notch extracellular truncation (NEXT). Plays a role in the proteolytic processing of ACE2. Plays a role in hemostasis through shedding of GP1BA, the platelet glycoprotein Ib alpha chain (By similarity).

Please note: All products are "FOR RESEARCH USE ONLY AND ARE NOT INTENDED FOR DIAGNOSTIC OR THERAPEUTIC USE"