ADAD1 Polyclonal Antibody

Cat.#: 164904

Special Price 226.5 USD

Availability: In Stock
- +

Add to cart to get an online quotation

Product Information

  • Product Name
    ADAD1 Polyclonal Antibody
  • Documents
  • Description
    Polyclonal antibody to ADAD1
  • Tested applications
    WB, IHC
  • Species reactivity
    Human, Mouse, Rat
  • Alternative names
    ADAD1 antibody; Tenr antibody; adenosine deaminase domain containing 1 antibody
  • Isotype
    Rabbit IgG
  • Preparation
    Antigen: Recombinant fusion protein containing a sequence corresponding to amino acids 1-280 of human ADAD1 (NP_001152757.1).
  • Clonality
    Polyclonal
  • Formulation
    PBS with 0.02% sodium azide, 50% glycerol, pH7.3.
  • Storage instructions
    Store at -20℃. Avoid freeze / thaw cycles.
  • Applications
    WB 1:500 - 1:2000
    IHC 1:50 - 1:200
  • Validations

    Western blot - ADAD1 Polyclonal Antibody

    Western blot - ADAD1 Polyclonal Antibody

    Western blot analysis of extracts of 293T cells, using ADAD1 antibody at 1:1000 dilution.Secondary antibody: HRP Goat Anti-Rabbit IgG (H+L) at 1:10000 dilution.Lysates/proteins: 25ug per lane.Blocking buffer: 3% nonfat dry milk in TBST.Detection: ECL Basic Kit .Exposure time: 1s.

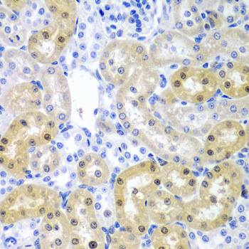
    Immunohistochemistry - ADAD1 Polyclonal Antibody

    Immunohistochemistry - ADAD1 Polyclonal Antibody

    Immunohistochemistry of paraffin-embedded rat kidney using ADAD1 antibody at dilution of 1:200 (40x lens).

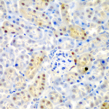
    Immunohistochemistry - ADAD1 Polyclonal Antibody

    Immunohistochemistry - ADAD1 Polyclonal Antibody

    Immunohistochemistry of paraffin-embedded mouse kidney using ADAD1 antibody at dilution of 1:200 (40x lens).

  • Background
    Plays a role in spermatogenesis. Binds to RNA but not to DNA (By similarity).

Please note: All products are "FOR RESEARCH USE ONLY AND ARE NOT INTENDED FOR DIAGNOSTIC OR THERAPEUTIC USE"