ACSS2 Polyclonal Antibody

Cat.#: 164892

Special Price 226.5 USD

Availability: In Stock
- +

Add to cart to get an online quotation

Product Information

  • Product Name
    ACSS2 Polyclonal Antibody
  • Documents
  • Description
    Polyclonal antibody to ACSS2
  • Tested applications
    WB, IHC, IF
  • Species reactivity
    Human, Mouse, Rat, Monkey
  • Alternative names
    ACSS2 antibody; ACAS2 antibody; ACECS antibody; ACS antibody; ACSA antibody; dJ1161H23.1 antibody; acetyl-coenzyme A synthetase, cytoplasmic antibody
  • Isotype
    Rabbit IgG
  • Preparation
    Antigen: Recombinant protein of human ACSS2
  • Clonality
    Polyclonal
  • Formulation
    PBS with 0.02% sodium azide, 50% glycerol, pH7.3.
  • Storage instructions
    Store at -20℃. Avoid freeze / thaw cycles.
  • Applications
    WB 1:500 - 1:2000
    IHC 1:50 - 1:200
    IF 1:50 - 1:200
  • Validations

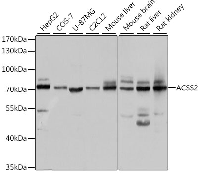
    Western blot - ACSS2 Polyclonal Antibody

    Western blot - ACSS2 Polyclonal Antibody

    Western blot analysis of extracts of various cell lines, using ACSS2 antibody at 1:1000 dilution.Secondary antibody: HRP Goat Anti-Rabbit IgG (H+L) at 1:10000 dilution.Lysates/proteins: 25ug per lane.Blocking buffer: 3% nonfat dry milk in TBST.Detection: ECL Basic Kit .Exposure time: 5s.

    Immunohistochemistry - ACSS2 Polyclonal Antibody

    Immunohistochemistry - ACSS2 Polyclonal Antibody

    Immunohistochemistry of paraffin-embedded rat heart using ACSS2 antibody at dilution of 1:100 (40x lens).

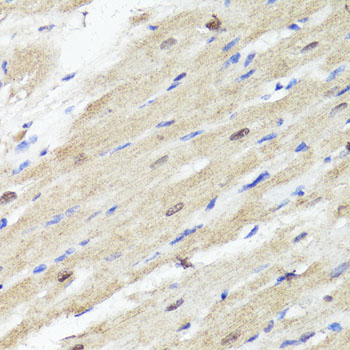
    Immunohistochemistry - ACSS2 Polyclonal Antibody

    Immunohistochemistry - ACSS2 Polyclonal Antibody

    Immunohistochemistry of paraffin-embedded mouse heart using ACSS2 antibody at dilution of 1:100 (40x lens).

    Immunofluorescence - ACSS2 Polyclonal Antibody

    Immunofluorescence - ACSS2 Polyclonal Antibody

    Immunofluorescence analysis of NIH/3T3 cells using ACSS2 antibody at dilution of 1:100. Blue: DAPI for nuclear staining.

  • Background
    Activates acetate so that it can be used for lipid synthesis or for energy generation.

Please note: All products are "FOR RESEARCH USE ONLY AND ARE NOT INTENDED FOR DIAGNOSTIC OR THERAPEUTIC USE"